ブリッジ治療
ブリッジ治療

失った歯の機能と見た目を回復させる治療法が「ブリッジ治療」です。歯を失った箇所の両隣にある健康な歯を削って土台として活用し、橋を架けるように人工歯を固定します。
ブリッジ治療では、失った歯の部分をダミーの歯で補うことにより、天然歯に近い噛み心地を実現できます。入れ歯のような取り外しの手間がなく、固定式のため安定性に優れ、食事や会話時の違和感も入れ歯と比較して少なくなります。また、インプラント治療で必要な歯茎の切開や骨を削る外科的な手術を伴わないため、患者様の身体への負担を軽減できる治療法です。
ブリッジ治療のメリット

メリット① 比較的短期間で治療完了
ブリッジ治療の完了までに要する期間は、すでに抜歯された部位の歯茎が治っていれば2〜3週間程度です。インプラント治療の場合は2〜3ヶ月程度です。
抜歯をしたばかりの場合は歯茎が治るのを待たなければいけないので、ブリッジの場合は2〜3ヶ月程度、インプラントの場合は4〜6ヶ月程度となります。
| 状況 | ブリッジ治療 | インプラント治療 |
|---|---|---|
| すでに抜歯後で歯ぐきが治っている場合 | 2〜3週間程度 | 2〜3ヶ月程度 |
| 抜歯したばかりの場合 (歯ぐきの治癒待ち含む) |
2〜3ヶ月程度 | 4〜6ヶ月程度 |
来院回数や患者様の口腔状態により多少前後しますが、インプラント治療と比較すると、短期間での治療が可能です。忙しい日常生活の中でも、早期に歯の機能を取り戻していただけます。
メリット② 保険適用で治療費を抑えられる
ブリッジ治療は保険診療の適用対象(部位やブリッジの設計に制限あり)となっており、自費診療となるインプラント治療と比較して経済的な負担を大幅に軽減できます。
メリット③ 外科手術が不要
ブリッジ治療では外科的な処置を行いません。両隣の歯を削り、被せ物を装着するという比較的シンプルな手順で治療が完了します。インプラント治療で必要な歯茎の切開や骨を削る手術がないため、手術に対する不安をお持ちの方や全身疾患により外科処置が困難な方でも有効な治療選択肢となります。また、処置後の痛みや腫れといったリスクも軽減できます。
メリット④ 違和感が少なくしっかり噛める
ブリッジ治療により装着される人工歯は、入れ歯と比較して安定性に優れています。固定されているため食事中にずれる心配がなく、今までとほぼ変わらない感覚でお食事を楽しんでいただけます。また、取り外しの手間がないため、日常生活での快適性が向上します。
メリット⑤【自費診療】美しい見た目も実現可能
セラミックやジルコニアなどの素材を選択すれば、審美性に優れたブリッジを製作できます(自費診療)。セラミックやジルコニアは天然歯に近い自然な色調を再現でき、汚れの付着も少ないので虫歯や歯周病のリスクも軽減できます。前歯部分のブリッジでも、周囲の歯と調和した美しい仕上がりが実現可能です。金属アレルギーの心配もなく、生体親和性にも優れています。
ブリッジ治療のデメリット
ブリッジ治療にはメリットがある一方で、注意すべき点もあります。治療前に十分ご理解いただくため、考慮すべきリスクを解説します。
デメリット① 健康な歯を削る必要がある
ブリッジ治療では支柱となる両隣の歯を削って被せ物を装着します。健康な歯であっても削る必要があり、これにより削った歯の虫歯リスクが高まる可能性があります。それは自分の歯と被せ物との境目ができるためです。ただし、適切な口腔ケアを続けることやより精度の高い治療を行うことで虫歯リスクの予防は可能です。
デメリット② 神経処置が必要になる場合がある
歯を削る際、神経に刺激が加わり歯髄炎を引き起こした場合、神経を除去する処置が必要となります。神経治療により歯質が少なることで歯は脆くなり、折れやすくなってしまうため、注意が必要です。当クリニックでは、可能な限り神経を保存する治療を行っています。
デメリット③ 両隣の歯への負担が集中する
ブリッジでは失った歯の分まで両隣の歯で支えるため、通常より大きな力がかかります。ブリッジは3人分の仕事を2人で行うような状況となり、長期的には歯に大きな負担がかかり、歯根が割れてしまうリスクもあります。しかし、適切な噛み合わせの調整と定期的なメンテナンスにより、負荷を分散させリスクを抑えることが可能です。
デメリット④ 再治療率の高さ
一部の研究では、臼歯部のメタルブリッジにおいて10年後の生存率が約30%程度と報告されています。再治療の主な原因としては、二次う蝕や接着部の脱離、咬合条件などが挙げられています。これらの結果から、治療後のメインテナンスや咬合管理が、ブリッジを長く使い続けるうえで重要であることが示唆されています。当クリニックでは予防に重点を置いたアフターケアをご提供しています。
デメリット⑤ 気づかない間にブリッジの片側が外れている場合がある
物を噛む際、歯はわずかに沈み込みます。この力のかかり方の違いによりブリッジの片側が徐々に外れる場合があります。ブリッジは複数箇所で固定されているため、一部が外れても完全に脱落せず、患者様が気づきにくいのが特徴です。外れた隙間から細菌が侵入し、見えない部分で虫歯が進行するため、発見が遅れると抜歯が必要になる場合もあります。しかし、定期検診でのレントゲン撮影や接着状態の確認により早期発見が可能です。当クリニックでは3〜6ヶ月ごとの定期検診をおすすめし、トラブルの予防に努めています。
デメリット⑥ 歯根破折による抜歯のリスク
ブリッジの土台となる歯には継続的に過度な負担がかかるため、歯根破折を起こすリスクがあります。歯根破折とは歯の根にひびが入ったり、割れたりする現象で、一度破折すると抜歯が避けられないケースがほとんどです。神経をすでに除去した歯を土台とする場合、弱くなった歯にさらに負担をかけることになるため、歯根破折のリスクが高まります。
【歯根破折の症例写真】
ブリッジ治療のリスクをご理解いただいた上で、インプラント治療との比較検討をされている方も多くいらっしゃいます。インプラント治療では隣接する健康な歯を削る必要がなく、歯根破折のリスクも避けられます。ブリッジとインプラント治療で悩まれている方は、ぜひ一度当院でご相談ください。
当院では多数のインプラント・ブリッジ治療の実績があり、患者様の口腔状態やご希望に応じて最適な治療法をご提案いたします。
詳しくはこちらをご覧ください。→ 港南台パーク歯科クリニック|インプラント
こちらもご参照ください。→ 港南台パーク歯科クリニック|【症例】歯根破折を起こし抜歯になった奥歯の標準的なインプラント治療
適切なケアでデメリットを軽減

デメリットの多くは、正しい自宅でのケアと定期検診により軽減できます。ブリッジの隙間部分には専用の歯間ブラシやブリッジ用フロスを使用し、丁寧な清掃を心がけてください。通常の歯磨きだけでは届かない部分の汚れを除去できます。
また、3〜6ヶ月ごとの定期検診では、清掃状態のチェックはもちろん、土台となる歯の虫歯や歯周病の有無、ブリッジの接着状態まで総合的に確認いたします。早期発見により重大な問題を未然に防げるため、長期的にブリッジを使用していただけます。適切なメンテナンスにより、ブリッジ治療のメリットを最大限に活かしながら、リスクを最小限に抑えることが可能です。
ブリッジ治療がおすすめな方

①外科治療が困難な方
持病や身体の状態により外科処置が制限される場合、ブリッジ治療が有効な選択肢となります。心疾患や糖尿病などでインプラント手術のリスクが高い方でも、安心して治療を受けていただけます。当クリニックでは患者様の全身状態を総合的に判断し、最も安全で効果的な治療法をご提案いたします。
②下顎前歯など狭いスペースの歯を失った方
下顎の前歯は他の歯と比較してサイズが小さく、隣り合う歯との間隔も狭くなっています。インプラント治療では人工歯根を埋入するための十分なスペースが必要ですが、この部位では確保が困難なケースもあります。スペースの制約によりインプラント治療が適応困難な場合、ブリッジ治療が有効な代替手段となります。
③すでに削られている歯を土台にする場合
土台となる歯が過去の虫歯治療により削られている場合、健康な歯を新たに削るデメリットを軽減できるため、ブリッジ治療がおすすめです。被せ物の再治療が必要な状況では特に有効といえます。ただし、土台歯への負担集中により破折リスクはあるため、長期的な経過観察が重要です。当クリニックでは既存治療の状態を詳しく評価し、患者様に最適な治療計画をご提案しています。
※歯を支える骨や歯茎の状態により、ブリッジが適応とならない場合もあります。
港南台パークのブリッジ治療症例
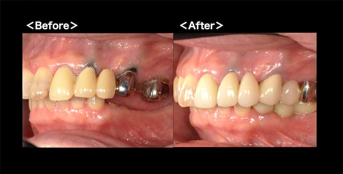
【症例】①保険診療で、できる限り白いブリッジに

患者様は左上に装着していたブリッジが虫歯になったため、新しく作り直しを希望して当クリニックを受診されました。左上1〜6番目がつながった保険診療によるブリッジで、3番目と5番目の歯が欠損していました。患者様との相談により、保険適用の硬質レジン前装冠ブリッジでの治療を選択しました。口腔内クリーニングと土台の形成後、精密な型取りを行い硬質レジン前装冠ブリッジを装着しました。保険診療の範囲内で可能な限り審美性を追求し、患者様にご満足いただける結果となった症例です。
こちらの症例の詳しい情報は下記をご参照ください。→ 【症例】保険診療で、できる限り白いブリッジに
| 治療内容 | 期間 | 治療回数 | 費用 |
|---|---|---|---|
| 硬質レジン前装冠による、前歯の保険診療のブリッジ治療 | 1ヶ月 | 5回 | すべて保険診療で治療 ※硬質レジン前装冠は、保険診療3割負担で1本約10,000円。 今回は6本のブリッジのため、3割負担で約60,000円 |
主な副作用・リスク
- 予後を完全に保証するものではありません。
- 保険診療にはルールがあるため、すべての歯にレジンなどの白い素材を適用できるとは限りません。また、歯軋りや食いしばりが強い方などはレジンの破折のリスクが高いため、白くする際はジルコニアが望ましい場合もあります。
- レジンは、何種類かある中から色調を選択するため、自分の歯とまったく同じ色を再現することはできません(素材の特性上、どうしても透明感に欠ける見た目となります)。また、経年劣化で変色(黄ばみ)が生じます。
- 金属を使用すると、歯茎に金属が染み込み、黒く変色してしまうことが多いです。
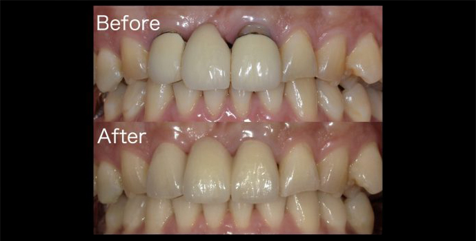
【症例】②ジルコニアセラミックによる前歯のブリッジ

患者様は20年前に装着した前歯のブリッジを綺麗にしたい、また歯茎にできものがあるとして当クリニックを受診されました。検査の結果、根の先端に炎症性病変が発見され、根管治療が必要と判断されました。古いメタルボンドセラミックのブリッジを除去後、マイクロスコープを用いた精密根管治療を実施しました。患者様のご希望によりジルコニアセラミックを使用したブリッジ治療を行い、精密な色合わせと優れた材質により良好な状態を維持できている症例です。
| 治療内容 | 期間 | 治療回数 | 費用 |
|---|---|---|---|
| 根管治療及び前歯のブリッジのやり直し | 2ヶ月 | 6回 | ジルコニアクラウン3本 363,000円(税込) ファイバーコア1本 11,000円(税込) |
主な副作用・リスク
- 予後を完全に保証するものではありません。
- ジルコニアセラミックは自由診療での治療となります。
- 色合わせ(シェードテイキング)は大変難しく、一度で納得のいく色調が再現できないことがあります。その際は再度色合わせを行うケースがあります。
- 根の尖端の病巣が再発した際は、歯根端切除術という外科処置で対応することがあります。
こちらの症例の詳しい情報は下記をご参照ください。
【症例】ジルコニアセラミックによる前歯のブリッジ
ブリッジ治療に関するお問い合わせ

当クリニックではブリッジ治療について遠方の患者様からも多数のお問い合わせをいただいております。よくある質問として、ブリッジ治療での材料や見た目に関するご質問にお答えいたします。
- 1.6番目の歯が欠損し5番目と7番目でブリッジを作製する場合、5番目の歯は白くできます。
- 2.硬質レジン前装冠ブリッジは上の歯ではメリットがありますが、下の歯ではあまりメリットがありません。側面は白いのですが、咬む面は銀歯のため、下の歯の場合はお口を開けたときに金属が目立ってしまうためです。

港南台パーク歯科クリニックでは、患者様一人ひとりに合わせた治療計画で、美しく機能的なブリッジ治療をご提供できるよう努めております。
こちらもご参照ください。
ブリッジの症例・ブログ一覧|港南台パーク歯科クリニック
インプラント治療についてはこちらをご覧ください。
インプラント|港南台パーク歯科クリニック


























