年末年始の休診のご案内
12月29日(月)〜2026年1月4日(日)休診
※12月25日(木)は大掃除のため、診療時間は9時〜16時までとなります。
※新年は1月5日(月)から通常診療を開始いたします。
ご不便をおかけいたしますが、よろしくお願い申し上げます。
6月11日~6月16日まで院長(川又)と野上歯科医師はアメリカの学会に参加するため、不在となります。患者様にはご迷惑をおかけいたしますが、何卒ご理解のほどよろしくお願いいたします。
院長 川又
年末年始の休診のご案内
12月29日(日)〜2025年1月4日(土)休診
※12月27日は大掃除のため、診療時間は9時〜
※新年は1月5日(日)から通常診療を開始いたします。
ご不便をおかけいたしますが、よろしくお願い申し上げます。
【8/16(金)臨時休診】台風接近による休診のお知らせ
8月16日(金)は強い勢力の台風7号の最接近が予測されるため、臨時休診とさせていただきます。
なお、8月17日(土)についても、交通機関の影響により診療時間を変更する場合がございます。
予めご了承のほどお願い申し上げます。
ご迷惑をおかけしますがご理解いただきますよう、よろしくお願いいたします。
当院の精密根管治療 では、根管治療に精通した日本顕微鏡歯科学会認定医が十分な時間をかけて診療しております。また、様々な機器、薬剤を用いて、患者様の大切な歯をできる限り残すための環境を整えております。
詳しくはこちらをご参照ください。
年末年始の休診のご案内
12月27日(水)午後診療は16:00まで(大掃除のため)
12月28日(木)通常診療
12月29日(金)〜2024年1月4日(木)休診
新年は1月5日(木)から通常診療を開始いたします。
ご不便をおかけいたしますが、よろしくお願い申し上げます。
【インプラント無料相談のお知らせ】
2023年5月より、インプラント無料相談を開始いたしました。
<ご予約方法>
お電話またはWebから「インプラント無料相談」をご予約ください。
詳しくはこちらをご覧ください。
年末年始の休診のご案内
2022年12月29日(木)から2023年1月4日(水)まで休診となります。
新年は1月5日(木)から通常診療を開始いたします。
ご不便をおかけいたしますが、よろしくお願い申し上げます。
【重要】クリニック改装に伴う休診のお知らせ
平素より当院をご利用頂きまして誠にありがとうございます。
この度、院内改装工事を行うため、誠に勝手ながら下記の期間を休診とさせていただきます
4月29日(金・祝)〜5月6日(金)
5月7日(土)13:00〜通常診療いたします。
ご迷惑をお掛けいたしますがご理解の程よろしくお願い申し上げます。
なお、休診中に何かございましたら、当法人のもう一つの歯科医院(みらい歯科 港南台診療所)にて急患対応をいたします。
詳しくはこちらをご覧ください。
ホームページをリニューアルしました。
港南台の歯医者
当院の特徴
マイクロスコープで視野を拡大することで、肉眼では見つけにくい病変を適切に処理し、治療箇所を長持ちさせるように心がけています。
プライバシーに配慮して、「個室」「オペ室」を設けています。駐車場から診療室までスロープでつなぎ、バリアフリー化にも努めています。
ご自身だけでは通院が難しい方にも当院で歯科診療を受けていただけるよう、無料送迎サービスをご用意しております。ご希望の方はお気軽にご相談ください。
当院では必要に応じて、保険診療であってもマイクロスコープを使って根管治療を行います。視野を拡大した細かい作業のため時間はかかりますが、再発を抑えて長期的にご自身の歯を使用できるような治療を心がけております。
診療メニュー 患者様一人ひとりのお口の健康リスクを調べた上で、定期的な検診や歯のクリーニングなど、患者様ごとに予防のためのプログラムを実施しております。
また担当歯科医師制・担当歯科衛生士制をとっておりますので、患者様ごとのお口の状況の変化も把握しながら、治療を行います。
失った歯を自分の歯のように補うインプラント治療。
CT撮影・インプラント相談は無料で実施しています。
インプラント体は安心・安全のストローマン社製を使用し、実績豊富な歯科医師が治療にあたります。
385,000円~495,000円
(税込・被せ物含む)
お口の健康を保つことは、患者様の健康管理の出発点。
検査から導き出された結果に合わせて歯周病治療を行います。
歯周内科処置や歯周外科処置など、症状に合わせた治療メニューをご用意しています。
様々な診療メニューで総合的な歯科治療が可能です


全ての記事
ブログ
よくあるご質問
JR京浜東北線(根岸線)港南台駅より徒歩7分程度となります。
バスでいらっしゃる場合は横浜市営バス公園前入口徒歩1分となります。
港南台駅の改札を出てイオンとローゼンの間を通り、そのまま直進して線路沿いの坂を下ります。突き当たりに港南台中央公園がございますので、公園を左折し、その後公園に沿って右折し1つ目の信号がある交差点に当院がございます。
クリニック前に6台の駐車スペースがございますので、お車でも安心して通院いただけます。
港南台パーク歯科クリニックはお子様からご高齢の方まであらゆる年齢層の方に通院いただける歯科医院です。CTやマイクロスコープも完備しており、より精密な歯科治療を行なっております。診療時間は下記の通りです。
・平日:9時〜18時まで(13時〜14時は休憩)
・土日:9時〜16時まで(12時〜13時は休憩)
祝日と年末年始以外は営業しておりますので、お気軽にご予約ください。
当院では1人ひとりの患者様に十分な診療時間を確保するため予約制となっております。
ご予約はWEB予約システム、もしくはお電話で可能です。
WEB予約システムでご希望の日時で予約が取れない場合は、お電話でお問い合わせいただければ調整できる場合がございます。
WEB予約
電話番号:045-830-6061
お電話にて、できる限り早めにご連絡をお願いいたします。
初診は30分~1時間前後お時間をいただいております。
基本的には担当歯科医師・衛生士を決めて診療を行いますので、毎回同じ者が担当いたします。ご希望の曜日等がある場合は、担当の変更が必要になることがございます。また、複数の歯科医師・衛生士が在籍しておりますので、担当変更をご希望の方はお気軽にお申し付け下さい。
詰め物や被せ物が取れてしまった場合や、お痛みがひどい場合などは当日応急処置を行わせていただきます。後日、十分な診療時間を確保した上で治療を行なっていきます。
当院にはベビーベッドが設置してある広い完全個室がございますので、ご予約の際に小さなお子様がいらっしゃる旨を伝えていただければ優先的に個室にご案内させていただきます。多くの患者様がお子様と一緒にご来院されております。
簡単な親知らずであれば当日抜歯が可能です。ただし、横を向いている場合や難しい抜歯の際は抜歯方法の説明のみとし、後日十分な時間を設けて抜歯を行わせていただきます。また、腫れや痛みなどの症状がある場合は抜歯はできませんので、症状を引かせてからの抜歯となります。
はい。基本的に1度で終われます。20歳以上の方は通常60分診療時間を確保し、上下で1度にまとめてクリーニングをいたします。歯石が多量に付着している場合などは複数回に分けてクリーニングをする場合がございます。
当院ではセカンドオピニオンを受け付けており、特に審美治療、セラミック治療、インプラントのご相談をされる方が多くいらっしゃいます。
インプラントに関しては無料相談も受け付けておりますので、どうぞお気軽にご予約ください。
インプラント無料相談
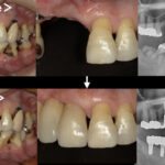
当院の治療実績については、下記よりご参照ください。
症例一覧|港南台パーク歯科クリニック
3割負担の方であれば3000円程度です。初診の場合はお口全体のレントゲンを撮影させていただきますので、4500円程度となります。
保険診療、自由診療ともに現金、クレジットカードでのお支払いが可能です。その他の電子マネー、バーコード決済などには現在対応しておりませんので、予めご了承くださいませ。
可能です。治療費のほかに金利手数料がかかること、審査がございますことをご了承くださいませ。当院にて見積もりを作成し、その後、銀行のご担当者と患者様の間で直接やりとりを行っていただく流れとなります。
港南台パーク歯科クリニックは、どなたでも通いやすい歯科医院です
港南台パーク歯科クリニックはJR京浜東北線「港南台駅」徒歩7分の場所にある歯医者です。お車で移動される方が多い地域であることから、専用駐車場5台分を完備しています。港南台駅周辺はもちろん、洋光台駅、本郷台駅からも多くの患者様がご来院されています。
平日お忙しい方も、通っていただけるよう土日診療を実施するだけでなく、小さなお子様がいらっしゃる方や、ご年配の患者様など通院が困難な方もお越しいただけるように、バリアフリー化やお車での無料送迎も行う地域に根ざした歯医者です。
当院では患者様にご満足いただくために、コミュニケーションをしっかりとり、患者様に合わせた治療をご提案いたします。患者様一人ひとり違うお口の中の症状やお悩みに対して、しっかりと診査・診断をして、それぞれ適した治療計画を立てています。そして、いくつかの治療計画をご提案して、その中から患者様ご自身に治療を選択いただいています。
私たち「港南台パーク歯科クリニック」は患者さまに長きにわたり地域で頼りにされ続けるかかりつけ歯科医院として、港南台周辺のみなさんの歯の健康をお守りします。
そのために、歯科医療の新しい技術や設備を導入し、歯科医師をはじめスタッフの研鑽を怠らず歯科治療のクオリティをしっかり保っています。
患者様に美味しく噛んで食べていただき、お口を開けて自信をもって笑っていただき、皆様の心身の健康に貢献する歯医者でありたいと思います。
院外でも当院のスタッフの顔を見かけたときは、是非お気軽にお声掛けください。
港南台で歯医者をお探しの方は、港南台パーク歯科クリニックへ是非お越しください。