2023/11/14

治療内容
ジルコニアセラミックと部分矯正による前歯の審美治療期間
4ヶ月治療回数
10回費用
マウスピース矯正 330,000円(税込)
患者様は女性で、『前歯の見た目をなんとか綺麗にできないか?』ということでご来院されました。
こちらが初診時の写真になります。

生まれつき永久歯がいくつか足りないことに加え、矮小歯と呼ばれる小さい前歯のために、歯と歯の間に大きなスペースができてしまい、いわゆるすきっ歯の状態でした。
①治療方法の相談
ベストな治療方法としては『矯正+インプラント』かと思われます。虫歯になったことがなく、全く削られていない綺麗な歯でしたので、まずはご自身の歯を矯正で綺麗に並べ、その後にできたスペースにインプラントを埋入して綺麗な歯列を整える治療方法です。患者様と相談した結果、治療期間が長くなってしまうことと治療費が高いことから、こちらの治療方法は選択しませんでした。
患者様のご希望は、治療期間を極力短く、コストを抑えて綺麗な見た目にしたいとのことでした。今回のケースではマウスピースで綺麗な見た目を確保できるように歯を少し移動させ、最終的には歯を削ってジルコニアクラウンで被せて治療する方法をとることとしました。
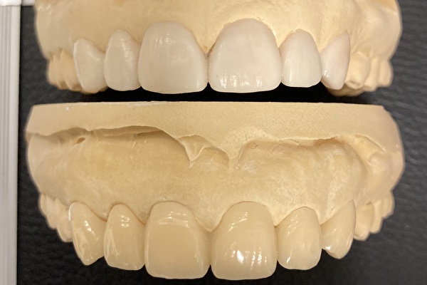
②最終的な被せ物のイメージの確認
マウスピース矯正を行った場合と行わなかった場合で被せ物の形を比較したのが下の画像です。
矯正を行わずに被せ物のみで治療した場合が写真の上の図になります。横幅が大きく少しポテっとした太ったような歯となってしまいます。
矯正を行ってから被せ物をしたものが下の図になります。こちらは、本来の歯に近い形になっています。
③マウスピース矯正
2週間ごとにマウスピースを変更しながら、2ヶ月ほどかけて歯を少し移動させました。
移動前後の比較がこちらになります。
④仮歯の装着
右上の3番目から左上の3番目まで合計6本の歯を削り仮歯を装着しました。
⑤型取り
仮歯の形が問題ないことを確認して、最終的な型取りを行いました。
⑥ジルコニアセラミッククラウンの装着
いよいよ被せ物が出来上がりましたので、色・形・適合が問題ないことを確認して、最終セットを行いました。治療前後の写真を比較すると、見た目がとてもよくなったのがおわかりいただけると思います。

患者様は見た目の改善に大変満足されております。また、削った影響による不快な症状の出現もありません。
現在は、数ヶ月ごとの定期的なメンテナンスのために通院されています。
・ジルコニアセラミックは自由診療です。
・治療後、知覚過敏などの症状が出ることや、将来虫歯になりやすくなる可能性があります。
歯科医としては歯を削らずに治療がすめばそれが1番ベストな治療かと思います。削って被せたり詰めたりすると、必ず自分の歯と人工物の境目ができてしまいます。その境目から、今後虫歯ができるリスクが高くなってしまうので、歯は削らない方が良いのです。
ただ、患者様が望まれる治療方法は一人ひとり異なります。
今回の患者様は過去に虫歯になったことがなく、お口の手入れもかなりしっかり行われている方でしたので、削って被せた後も虫歯になるリスクがかなり低いことが予想されました。また極力汚れがつきにくく、精度の高い被せ物を被せることが長期的に良好な治療結果につながります。
お口の手入れがうまくできず、虫歯のリスクが高い患者様であれば今回の治療方法はおすすめできません。せっかく治療しても綺麗な状態が維持できないからです。
港南台パーク歯科クリニックでは、一人ひとりの患者様にあった治療方法をご提案いたします。歯でお困りの方がいらっしゃいましたら、ぜひご相談にお越しください
スタッフ一同、心よりお待ちしております。
港南台パーク歯科クリニック 院長 川又 烈志
こちらもご参照ください。