2022/04/29

治療内容
ジルコニアセラミックによる前歯の審美治療期間
1ヶ月治療回数
4回費用
ジルコニアクラウン 121,000円(税込)×4本
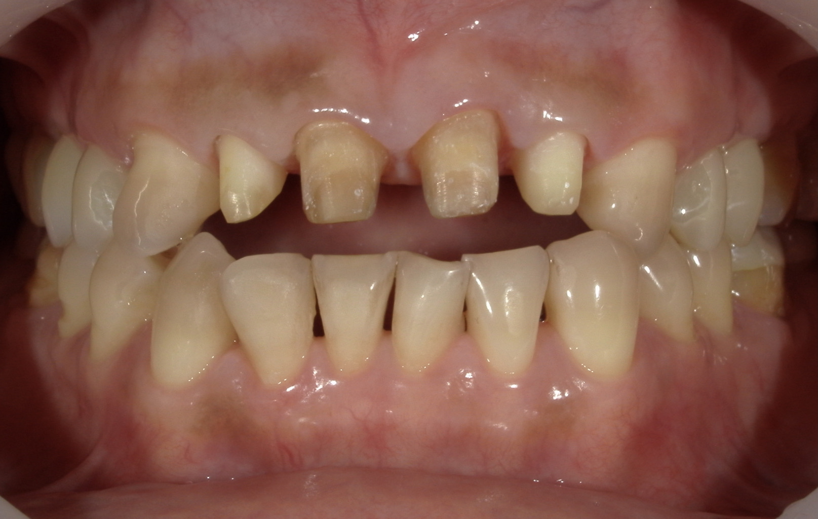
患者様の主訴は『以前治療した差し歯の根元が出てきてしまっているので綺麗にしたい。前歯2本が長く見えることが気になるので、なんとか上手く治療できないか?』というものでした。

右上1番と左上1番目の歯には被せ物がすでに入っており、左上1番目の歯は歯肉退縮(歯茎がやせること)で歯根が露出して見た目が悪くなっています。
また、1番目と2番目の歯の長さがかなり違って見た目がアンバランスな状態でした。
①相談
患者様と治療方針についてじっくりと相談しました。前歯4本をジルコニアセラミックで被せて、綺麗に治療することとなりました。
②被せ物の除去・仮歯の装着
麻酔をして古い被せ物を除去しました。また両隣の歯も被せ物をするために綺麗に形を整え、仮歯を装着しました。

③型取り
仮歯の形で問題ないこと、削った歯に症状が出ていないことを確認して、型取りと色合わせのための写真を撮りました。

④ジルコニアクラウンセット
被せ物が完成し、歯科用ボンドで装着を行いました。
患者様と相談の上、今回はあえて少し自分の歯より白い色で作らせていただきました。

知覚過敏などの症状もなく経過は良好です。
歯の色・形ともに大変気に入っていただくことができました。精度の高いピッタリな被せ物が入りましたので、歯肉炎なども全くありません。
今後はこの状態を長くキープできるよう、定期的なメインテナンスのために4ヶ月に1回の通院予定です。
・予後を完全に保証するものではありません
・ジルコニアセラミックは自由診療での治療となります
・一度で納得のいく色調が再現できない場合は、再度色合わせを行うことがあります。
・希望の歯の形にするために、ケースによっては歯の神経を取らなければならないことがあります
今回のケースで使用したジルコニアセラミックは、当院で使用している中で最も優れた被せ物の治療になります。
特徴は高い強度と審美性、そして汚れが付着しにくい点で、虫歯・歯周病・口臭も予防できます。
今回のような審美性の高い治療を望まれる方には、自由診療(保険外)のジルコニアセラミックが最適と言えます。ケースによっては保険適用の硬質レジン前装冠という被せ物で、状態をかなり改善できるケースもあります。今後、硬質レジン前装冠で作成したケースもブログにアップしたいと思います。
前歯の色・形などにコンプレックスを持っている方は大勢いらっしゃると思います。
やる、やらないは別として、悩みがある方は是非一度港南台パーク歯科クリニックにご相談にいらしていただければと思います。
意外と簡単にコンプレックスを解消できるかもしれません。過去のブログでも掲載させていただきましたが、少し磨くだけで綺麗になったりするケースも多々あります。
いつかやろうと思っている人は是非早めのご相談・治療をお勧めします。
いつかやるのであれば、1日も早く綺麗な歯にして毎日を過ごした方がお得です。
当院ではデンタルローンでのお支払いも可能となっております。
スタッフ一同お待ちしております。
こちらのページもご参照ください。
審美治療・ホワイトニング|港南台の歯医者 港南台パーククリニック