2025/05/22
, 根管治療

治療内容
マイクロスコープを用いた精密根管治療期間
1ヶ月治療回数
2回費用
精密根管治療相談 5,500円(税込)
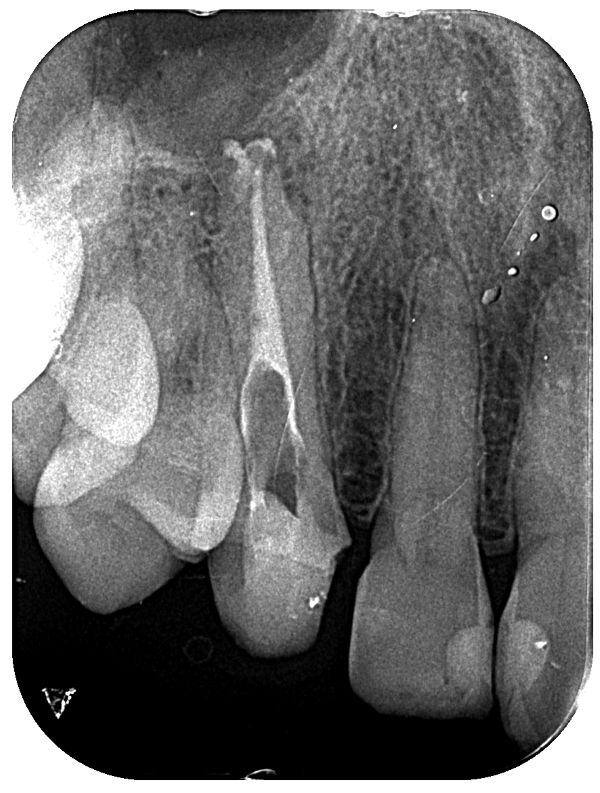
患者様は40代の男性で、『前歯がうずいて痛い』とのことでご来院されました。
レントゲン写真を確認したところ、歯の根の先に膿ができており、骨が溶けている事がわかりました。
根管治療の流れは概ね以下のようになります。
①古い被せ物や土台・虫歯の除去
根管治療は、根の中の汚染物質を取り除き、根管内を清潔な状態にすることが目的となります。
まずは、根管治療が開始できるように古い詰め物を外し、虫歯を丁寧に取り除きます。
②ラバーダム装着
お口の中は細菌だらけですので、ラバーダムというゴムのシートを貼り、唾液中の細菌を根の中に入れないようにします。
また、根管治療時には強力な洗浄剤を使いますので、お口の中に洗浄剤が流れないようにしており、患者様の安全を守るためにとても大切なシートとなります。
③根管治療
根の中の汚染物質と虫歯菌によって感染してしまった歯質を、徹底的にマイクロスコープ(歯科用顕微鏡)を用いて除去した後、洗浄・消毒を行い、きれいな状態になった事を確認します。(マイクロスコープ下での治療です)
これは歯の根の中の様子です。

通常の根管は白色ですが、真っ黒に変色しております。

上の写真は封鎖材料のガッタパーチャポイントという材料ですが、通常はピンク色です。
取り出した物は茶色く変色していました。
下の写真が汚染物質を取り除いた後の状態です。

ここまで綺麗になってはじめて封鎖します。
④根管充填
根の中にゴムの材料を入れて封鎖します。
緊密に根の中にお薬を詰めることで、細菌の再侵入を防ぎ、細菌が増殖するスペースを無くします。
⑤築造
外から細菌が入ってこられないように、根の上部を樹脂で封鎖して、被せ物が入れられるように土台を作ります。
歯科用語で土台を作ることを築造と言います。
こちらが術後のレントゲン写真になります。

患者様は噛んでも痛まなくなりました。
根の先端にできた膿も消失しており、骨が元に戻っています。

・根管治療は確実に治癒する保証はありません。
・成功率もあくまで確率ですので、歯の状況に応じて%も上下します。
・通常の根管治療で保存ができない場合は、外科的歯内療法(歯根端切除術)を行う場合があります。
・精密根管治療は保険適応外の自由診療での治療となります。
・保険内の根管治療も行なっておりますので患者様のご希望に応じて治療が可能です。
・根管治療後は、補綴治療(被せ物)が必要です。
・根管治療を保険外の自由診療で行った場合、被せ物を保険適応で作成することはルール上できませんので、被せ物も保険外治療となります。
・治療後もセルフケア及びクリニックでのメインテナンスが大切です。
インプラント治療も素晴らしい治療だと思います。
インプラントを行えば失った歯を取り戻せますが、ご自身の歯は一度抜いてしまうと、二度と戻ってはきません。
抜歯をしないといけない歯かどうか悩んでいる方は、破折(歯が割れたり折れたりする状態)していなければ、治せる可能性もございますのでぜひ当院にご相談下さい。
最近は、マイクロスコープを用いることで、根管治療の成功率は格段に上がっております。
以前は目で確認することができなかったことが、マイクロスコープを用いることで、目でしっかり確認することができるようになったからです。
精密根管治療相談も行っておりますので、お気軽にご相談下さい。
スタッフ一同お待ちしております。
こちらもご参照ください。