2025/12/24
, インプラント

治療内容
インプラント治療期間
8ヶ月治療回数
20回程度費用
インプラント手術(4本) ¥968,000(税込)
今回の患者様は、10年以上前に当院にてインプラント治療をされた患者様からご紹介いただいた方になります。他院で左下の奥歯を歯根破折(根のヒビ)の治療で抜歯を行い、インプラント治療が得意な歯科医はいないかということで当院をご紹介いただきました。
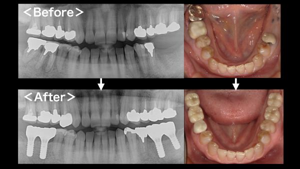
こちらが初診時のレントゲン写真となります。

左下6・7番目の歯が抜歯をされ、欠損している状態でした。
お口の中の状態の写真がこちらになります。

患者様は、インプラント治療を最初から希望されていらっしゃいましたが、全ての治療方法(入れ歯とインプラント)についてメリット・デメリットを説明させていただきました。患者様は極力違和感なく、しっかり噛めるインプラント治療をご希望されました。
①CTによる診断
まずはCTの撮影を行い、インプラント治療が問題なく行えるか確認を行いました。骨の幅は十分ありましたが、一部骨が溶けてしまっている部位がありましたので、インプラントを入れる処置と同時に骨を作る処置も行うこととしました。また、下顎のインプラント治療を行う際は下顎管という感覚の神経が入っている管に注意をしなければなりませんが、今回は神経との距離も十分にあり、極めて安全にインプラント治療が行えるケースでありました。
②インプラント処置
部分麻酔(普通の虫歯治療と同じ麻酔)を行い、インプラントを入れる処置を行いました。処置時間は2本の治療で1時間弱程度でした。処置後は骨を作る治療も同時に行いましたので、少し腫脹と痛みが出ましたが、お薬の服用にて日常生活は全く問題なかったようです。

③型取り(印象)
インプラントと骨がしっかり結合するのを2ヶ月ほど待ち、シリコンを用いて型取りを行いました。シリコンは非常に精度の高い型取りの材料となっております。
④被せ物のセット
2週間ほどすると、ジルコニアクラウンが出来上がってきましたので、微調整を行い、口腔内にセットしました。インプラントへの被せ物のセットの仕方は、セメントで固定するタイプとネジで固定するタイプがありますが、インプラントにトラブルがあった際に適切に対応できるように、ネジで固定するタイプでセットを行いました。
ネジで固定するタイプは、被せ物を外したい時に容易に被せ物を外すことができます。また、インプラント周囲炎(インプラントの歯周病)の原因となるセメントの取り残しもございません。
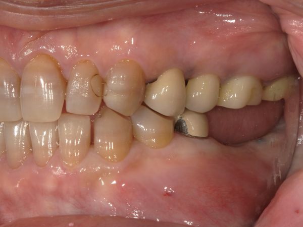
こちらがお口にセットした写真となります。

⑤右下の治療
左下にインプラントで被せ物が入った後、右下の治療に移りました。
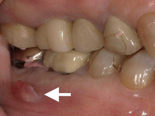
右下の6番目と7番目の歯には歯茎にフィステルという出来物がありました。
フィステルは右下6番目と7番目の根管治療(根の治療)の不備によって生じた膿の出口になります。

また、被せ物と歯茎の隙間に大きな虫歯があることも分かるかと思います。こちらの矢印が虫歯です。

被せ物を外して根管治療を行うこととしましたが、被せ物を実際に外して虫歯を削っていくと、かなり自分の歯の残量が少なくなってしまいました。ある程度の歯が残っていないと、被せ物をしたとしてもすぐに虫歯になってしまったり、被せ物が外れてすぐトラブルを起こしてしまいます。
患者様と相談の結果、予後不良の歯となってしまう可能性が非常に高かったため、抜歯を行い、長期的な安定が見込めるインプラント治療を行うこととしました。
治療の流れは左下の歯とほぼ同じです。
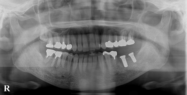
こちらが被せ物が入った後のレントゲン写真になります。

治療後患者様はインプラント治療に大変満足されております。
治療によって奥歯がしっかり入り、違和感なくしっかりお食事ができているとのことです。
・予後を完全に保証するものではありません。
・インプラント治療はお身体やお口の状態によっては、治療が適応外となる可能性がございます。
・インプラントは歯周病になるリスクがございます。そのため、定期的なメインテナンスおよびご自身でのケアが非常に大切です。また、インプラント治療前にしっかり歯周病を治療しておくこともリスクを下げる上で重要です。
・下顎のインプラント治療は神経麻痺(痺れ)が出る危険性が、極めて稀ではありますがございます。CTをしっかり撮影し、十分な安全性を確認してから行うことが大切です。
今回は、すでに当院でインプラント治療を経験した患者様からご紹介いただいた方のインプラント治療をまとめさせていただきました。
当院では多数のインプラント治療を行っているため、患者様から知人をご紹介いただくケースもとても多いです。
インプラント治療は高額な治療になりますし、術後のケアなどで歯科医師・クリニックと長い付き合いが必要となります。
安心して任せられる歯科医師選びがとても重要になります。とは言え、患者様が歯科医師を選ぶのはとても難しいのが現実です。
今回の症例もそうですが、患者様が少しでも安心してインプラント治療を行える医院をお選びいただけるように、港南台パーク歯科クリニックでは定期的にインプラント症例をホームページにアップしております。
多数のインプラント実績がございますので、その一部分ではございますが症例集をご参考にいただければ幸いです。
セカンドオピニオンや相談だけでももちろん結構ですので、皆様のインプラント治療の少しでもお手伝いができれば幸いです。
何か気になることがございましたら、お気軽にご相談ください。
スタッフ一同皆様のご来院をお待ちしております。
港南台パーク歯科クリニック院長 川又
こちらもご参照ください。
【症例】サイナスリフト(上顎洞挙上術)を用いたインプラント治療
記事はありません