2025/12/27
, 入れ歯

治療内容
ノンクラスプデンチャー(スマイルデンチャー)期間
2週間治療回数
3回費用
ノンクラスプデンチャー 88,000円(税込)
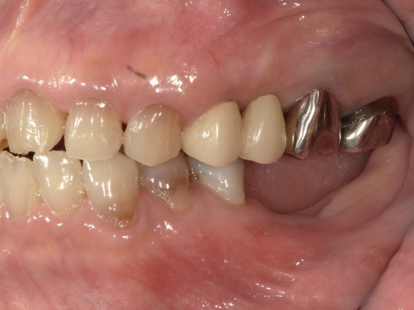
患者様は60代の女性の方です。当院にメンテナンスで通院しておられましたが、他院にて入れた左下の被せ物が虫歯で取れてしまいました。虫歯をしっかり削っていくと、ご自身の歯がほとんどなくなってしまい、被せ物を再度行うことが不可能となり、残念ながら抜歯となりました。
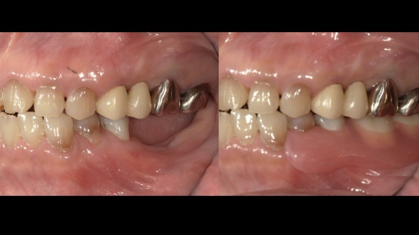
抜歯後のお口の状態がこちらになります。

抜歯後は3つの選択肢がございます。
部分入れ歯
取り外しができる装置で、他の歯をほとんど削ることなく使用できます。違和感が強く話しにくい、固いものを噛むと痛いなどのデメリットが生じることがありますが、外科的な処置が必要なく、簡単に作成できるのが最大のメリットとなります。
インプラント
ご自身の顎の骨の中に人工の歯根(チタン製)を入れ込み、その歯根に被せ物を装着する方法になります。メリットとしては他の歯を全く削らず、負担もかけずに、ご自身の元の歯の状態に1番近くなる治療ができます。
デメリットとしては外科的な治療が必要となり痛みを伴うことです。また、保険外治療で1本350,000円(税抜)~と費用が高額となることです。
ブリッジ
周囲の歯を削って、3個以上連結された歯を歯科用ボンドで固定する方法です。メリットは外科的な治療が必要なく、保険内(保険外の材料もあり)で治療できることです。また、入れ歯のような装着感や違和感も少ないです。
デメリットは周囲の歯を削らなければならない、周囲の歯に負担がかかる、繋がっているため手入れがしにくい点になります。ただし、今回の症例の治療では抜けた部位の問題で、ブリッジ治療は保険適応することが不可能です。
上記を説明させていただいたところ、患者様は部分入れ歯による治療を希望されました。
①相談
部分入れ歯には3種類ありますので、それぞれの特徴を説明させていただきました。
<保険の入れ歯>
プラスチックと金属でできた入れ歯となります。多くの方がイメージされるのがこちらの入れ歯になると思います。メリットは保険適応となるので、費用が抑えられる点です。デメリットとしては金属のバネがつくため見た目が悪い、プラスチックが分厚いので、装着感が悪いといったことです。
<保険外の金属を使った入れ歯>
今回のようなケースではあまりメリットがありませんが、保険でプラスチックとなる部位を薄い金属で加工することによって、入れ歯の違和感が大きく改善します。また、金属のため強度があり割れたりしにくくなる点もメリットです。上顎の総入れ歯や大きな入れ歯を作る時にオススメです。
<保険外のノンクラスプデンチャー>
保険で作る硬いプラスチックとは異なり、弾性のあるプラスチックで作る入れ歯になります。入れ歯のバネもピンク色のプラスチックで作るため、バネが歯茎のように見えて、パッと見た時に入れ歯をしているのがほぼ分かりません。見た目が非常によく、入れ歯自体も薄く作れるため、違和感が少なくなります。
相談の結果、今回は保険外のノンクラスプデンチャーを患者様は希望されました。
②型取り・噛み合わせの記録
今回は歯が2本ないだけのケースでしたので、入れ歯用の型取りと噛み合わせの記録を取る治療を1回で行いました。(歯が多数ない場合は型取りと噛み合わせの記録は別日に行うことがあります。)
③セット
2週間ほどで入れ歯が出来上がってきました。
こちらがノンクラスプデンチャーの写真になります。

適合が問題ないことや歯茎とぶつかっている部位がないことなど念入りに確認し、噛み合わせも細かく調整を行いセットいたしました。毎日ご自身で着脱を行なってもらいますので、着脱の練習も十分にしてもらいました。
④調整
1週間ほど入れ歯を使っていただき、不具合がないか確認しました。今回はほとんど問題ないということでしたが、入れ歯は調整が数回必要なことがございます。
患者様はまず見た目に大変満足されておりました。入れ歯となった際はやはり金属のバネがかかる入れ歯を想像されていたようですが、周囲の人に入れ歯と分からないような入れ歯が入り、とても安心されておりました。最初は違和感や固いものを噛んだ時の痛みはあるようでしたが、徐々に気にならなくなったとのことです。
・ノンクラスプデンチャーは保険適応外の治療になります。
・保険で作る入れ歯よりは薄くなりますが、入れ歯特有の違和感や装着感はあります。
・プラスチックのバネになるため、割れた際は修理しにくいというデメリットがあります。
今回はノンクラスプデンチャーと呼ばれる入れ歯をご紹介させていただきました。こちらはスマイルデンチャーとも呼ばれております。


こちらの写真を見て、入れ歯をしているなと気がつく一般の人はかなり少ないかと思います。
入れ歯というと金属のバネがついた入れ歯を想像される方が多いかと思いますが、人に気づかれにくい審美的な入れ歯もございます。また装着感も保険の入れ歯よりも薄く仕上がるため、違和感が少ないのも大きなメリットとなります。
費用は今回のような小さいタイプ(片側のみ)のものであれば88,000円(税込)、大きいタイプ(両側にまたがる)のものであれば165,000円(税込)となっております。
ご相談だけでももちろん結構ですので、気になった方はぜひご来院いただければ幸いです。
スタッフ一同お待ちしております。
港南台パーク歯科クリニック院長 川又
こちらもご参照ください。