2026/01/14

治療内容
前歯のインプラント治療期間
約6ヶ月治療回数
15回程度費用
インプラント手術: 242,000円(税込)
今回の患者様は40代の女性の方です。主訴は前歯のぐらつきでした。
数年前に転んだ際に、ぶつけてしまった前歯がグラグラするとのことでした。
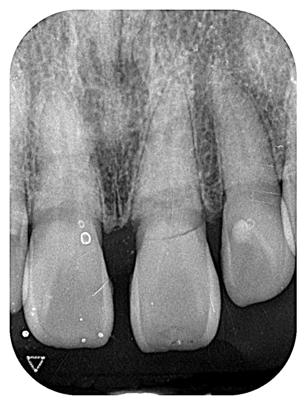
こちらが初診時のレントゲン写真になります。

左上1番目の歯が根元で横に折れてしまっているのが分かるかと思います。
当日は応急処置として、歯科用ボンドで固定を行いました。
①相談
まずは歯科用CTを撮影して、この歯を残すかどうかを検討しました。
CT画像で確認すると、歯のひび割れはかなり歯茎の奥深くまで及んでいることが分かりました。
今回のケースは以下の治療プランが考えられます。
・意図的再植・・・一度歯を抜いて180度回転させて歯を戻します。うまく生着すれば歯を残しつつ、被せ物で治療を行うことが可能になると考えられました。しかしながら、被せ物を支える根が短くなり長期的な予後に不安が残るため、今回のような症例ではおすすめできませんでした。
・部分入れ歯・・・比較的簡単な治療方法になりますが、年齢的なことを考慮すると見た目が悪くなるためおすすめはできません。
・ブリッジ・・・両隣の歯を削り、3つ繋がった歯をセットする方法です。今回は両隣の歯が全く削ってない歯でしたので、削って被せるということが最大のデメリットとなります。
・インプラント・・・両隣の歯を削らずにチタン製の人工歯根を埋め込み、その後、被せ物を装着する方法になります。
今回の症例では総合的に判断してインプラントの治療が適していると考えました。
患者様と相談した結果、今回はインプラントで治療していくこととしました。
②インプラント処置
今回は抜歯即時埋入という、「抜歯と同時にインプラントを埋め込む」特殊な治療方法を選択しました。こちらの処置のメリットを以下に示します。
・抜歯とインプラントを同時に行うので、痛みを伴う外科的な処置が1回で済む。
・ケースによっては、切開をせずにインプラントを入れることができます。切開しないことでより審美的な仕上がりにすることができる。
・抜歯してすぐにインプラントを入れるので、治療期間が短縮される。
とても高度で繊細な治療となり、条件を満たしたケースしか適応することができませんが、患者様にとてもメリットのある治療方法です。
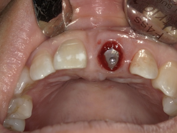
部分麻酔下にまずは周囲の骨を傷つけないように丁寧に抜歯を行い、その後インプラントを入れる処置と骨を作る処置を一緒に行いました。
こちらがインプラントを入れた後の写真になります。

切開を全くせずにインプラントを入れているので、ほとんど出血がないのが分かるかと思います。また術後にほとんど痛みも腫れも出なかったようです。
③仮歯のセット
インプラントと骨がしっかり結合するのを待ち、型取りを行い、インプラントに仮歯をセットしました。もともと正中離解(すきっ歯)のため、まずは元の形に近い状態で仮歯を入れました。

④仮歯の調整
患者様に右上の歯を削らずにコンポジットレジン(CR)で幅を少し大きくし、すきっ歯を改善する方針を提案させていただきました。こちらがコンポジットレジン修復を行い、仮歯を調整後の写真となります。左右の歯に多少の大きさの差はありますが、こちらの方がより審美的に良いかと思います。

⑤型取り・色合わせ
仮歯の形にご満足いただけたため、最終的な型取りと色合わせのための写真撮影を行いました。

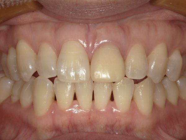
⑥被せ物の装着
被せ物が出来上がってきました。こちらがセットする前のジルコニアセラミッククラウンになります。歯科技工士が写真を見ながら、細かい白濁などの模様を入れております。

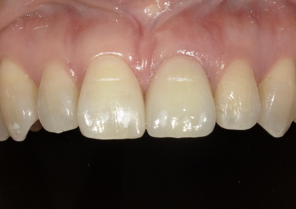
微調整を行い装着しました。こちらがセット後の写真になります。

患者様は、もともとのすきっ歯も改善され、自然な見た目となり、最初より綺麗になったと大変満足されております。また、治療期間は長くかかりましたが、両サイドの歯を削らずに審美的な治療ができたことにもとても喜ばれております。現在は年に2~3回メインテナンスで通院されております。
・予後を完全に保証するものではありません。
・インプラント治療は保険外での治療となります。患者様のお身体やお口の状態によっては適応できない場合が稀にございます。
・抜歯と同時にインプラントを入れる治療はかなり高度な治療となり、限られたケースにしか適応できません。
・インプラントは虫歯にはなりませんが、歯周病になる可能性がありますので、術後もご自身の歯磨きが非常に大切です。
今回は抜歯即時埋入という「抜歯をして同日にインプラントを入れる処置」をご紹介いたしました。日本人は前歯の歯茎や骨が薄い人が多く、適応できるケースは少ないですが、患者様にとっては「外科処置が1回で無駄な切開が不要」「治療期間が短くなる」「見た目が綺麗に仕上がる」と、とてもメリットが多い治療となります。切開をすると必ず歯茎が下がってしまいます。
今回のケースでは歯間乳頭(歯と歯の間の三角形の歯茎)もしっかり維持されており、どの歯がインプラントにしたのかはほとんど分からないと思います。
条件を満たした場合のみではありますが、港南台パーク歯科クリニックではこのような高度なインプラント治療にも対応しております。多数の治療を経験しておりますので、インプラント治療で悩まれている方は、ぜひ一度ご相談にいらしてください。
セカンドオピニオンだけでもご遠慮なくお越しください。実際に「他院では抜歯と言われた歯が残せた」、「インプラントの本数が少なく済んだ」、「骨を作る処置が必要なくなった」、「インプラントの費用が安かった」など、セカンドオピニオンから当院でインプラント治療をされる方も多数おります。
スタッフ一同お待ちしております。
港南台パーク歯科クリニック 院長 川又
こちらもご参照ください。