2026/01/20
, 審美治療

治療内容
ジルコニアセラミックによる前歯の審美治療期間
約1.5ヶ月治療回数
5回費用
ジルコニアクラウン 132,000円(税込)×6本
患者様は60代の女性になります。
『昔から前歯の見た目が気になっていたが、子育てや仕事・介護に時間を費やし、自分自身に時間がかけられなかった。前歯をなんとか昔のように綺麗にすることはできないか?』
という主訴で来院されました。
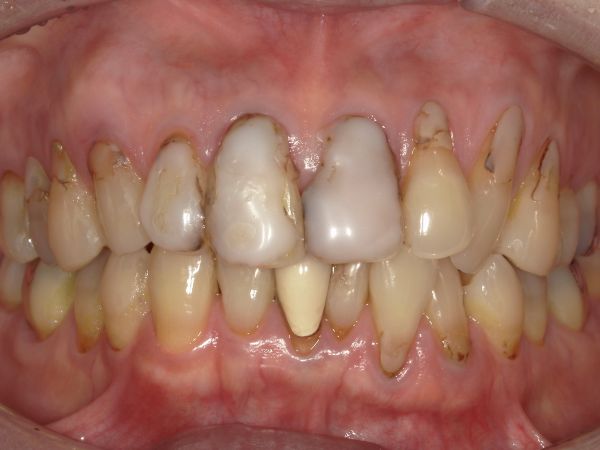
こちらが初診時の前歯の写真になります。

前歯が、古いレジンというプラスチックで修復されており、色も形も悪く、境目は茶色く着色してきてしまっている状態でした。
①相談
患者様と十分なご相談をさせていただきました。
患者様は、昔のご自身の笑った写真をお持ちになり、このような状態にならないかという強い願いがありました。
今回は、長くなってしまった歯の形や、多少デコボコしてしまった歯並びも綺麗にしたいということでしたので、右上3番から左上3番までの計6本はしっかり歯を削って、ジルコニアセラミッククラウンという最も審美性の高い材料で治療を行うこととしました。
その他の歯に関しては古くなったレジンという詰め物を保険診療で交換することにしました。当日は、まず仮歯の型取りを行いました。
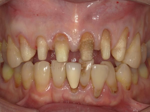
②古い詰め物・虫歯の除去・仮歯のセット
部分麻酔をしっかり行い、古い詰め物を除去しました。
古い詰め物の下には、茶色く虫歯が広がっていましたので、虫歯を丁寧に削り取り、仮歯が入れられる形に歯を整えました。
こちらが形を整え終えた写真になります。

こちらが仮歯を装着した写真になります。

古い詰め物は、大きな段差がある状態で入っており、歯茎に腫れや炎症が見られましたので、2週間ほど丁寧に歯ブラシを行うように指導を行い、その日は終了としました。
③仮歯の修正
2週間後には歯茎の腫れもすっかり落ち着いており、仮歯の長さや形の微調整を行いました(ご家族に仮歯を見てもらったり、ご自身で気になる部分の修正をしたりしました)。
また、虫歯をとった後に不快症状が出現していないか確認も行いましたが、しみるなどの不快症状は全くありませんでした。
④型取り
歯茎の炎症がなくなり、最終的な被せ物の形も仮歯でしっかり確認ができましたので、シリコンという1番精度の高い型取りの材料を用いて型取りを行いました。
また、白すぎず自然な色に仕上がるように、患者様とサンプルを用いて色も慎重に決めました。
⑤セット
こちらができあがってきたジルコニアセラミッククラウンになります。

色や形・噛み合わせが問題ないことを確認して、セットしました。

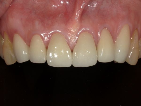
患者様は、こんな短期間でこんなに綺麗に治療ができるのであれば、もっと早くに治療をすれば良かったと大変喜ばれておりました。
また、昔のように歯を気にせずに笑えるようになったとおっしゃっておりました。
・予後を完全に保証するものではありません。
・ジルコニアセラミックは、保険外(自由診療)でのみ使用できる材料となります。
・今回のように、数本まとめて行うケースでは色合わせに大きな問題はありませんが、1本のみの歯を被せる場合などは、一度で納得のいく色調にならないことがあり、その際は微調整を行わせていただくことがございます。
・虫歯が大きい場合や歯の形を大きく変える際などは、歯の神経を取ってから被せ物を行うこともございます。
今回は、劣化した材料を綺麗にする治療を紹介させていただきました。
患者様は、今回の治療はもっと大変なもので、期間がかかるものとお考えになられていたようです。実際、治療をしてみると、1ヶ月半程度で昔のような綺麗な歯が手に入り、喜びとともに大変驚かれておりました。
今回の治療で1番大変だった所は、<②古い詰め物・虫歯の除去・仮歯のセット>の工程になりますが、この工程も2時間弱程度で終了となっております。
ご自身の歯にコンプレックスを持ち、『きっと治すの大変なんだろうな……』と思われている患者様がいらっしゃいましたら、ぜひ一度ご相談にいらしていただければと思います。案外、簡単な方法で悩みの改善ができる可能性がございます。
今回はジルコニアセラミッククラウンという1本132,000円(税込)の材料を使用させていただきましたが、こちらの材料は表面にセラミックを使用しているため、とても透明感があり天然の歯に非常に近い状態で治療が可能です。
変色することもございませんので、綺麗な状態を長く維持することができます。また、精度が非常に良く、表面もツルツルなためプラークなどの汚れが付着しにくく、虫歯や歯周病予防にも大変優れた材料となっております。法人内での保証も5年間ついており、前歯を治療する際はとてもオススメです。
前歯にお悩みの方がおりましたら、ぜひ一度ご相談だけでも結構ですので、港南台パーク歯科クリニックにお越しいただければ幸いです。
スタッフ一同お待ちしております。
港南台パーク歯科クリニック 院長 川又
こちらもご参照ください。
【症例】抜歯と同時に行う前歯のインプラント治療(抜歯即時埋入)
記事はありません