2026/02/13
, ホワイトニング

治療内容
インターナルブリーチ期間
2ヶ月治療回数
4回(下準備1回、インターナルブリーチ2回、最終修復1回)費用
インターナルブリーチ 22,000円(税込)×2
今回の患者様は定期健診で通院されており、検診時に歯科衛生士が右上の前歯1番目の変色に気づき、治療をご提案させていただきました。
変色した歯について詳しくお話を伺ったところ、10数年前に虫歯治療を受けており、その数年後から少しずつ変色が始まったとのことでした。レントゲン検査の結果、神経が死んでしまっていることが判明し、感染根管治療を行っていました。
患者様自身、歯の変色が気になっていたものの、その対策としてかぶせ物やラミネートべニアのような歯を大きく削る治療に抵抗がありました。
また、従来のウォーキングブリーチ(インターナルブリーチ同様神経の無い歯に対するホワイトニング)だと歯根破折のリスクがあると聞いたことがあり、そのままにしていたとのことでした。
そこで今回、インターナルブリーチを提案させていただきました。
この方法は先に記載したウォーキングブリーチ同様、神経の無い歯に対するホワイトニングですが大きく異なる点は、歯の内部に薬剤を残したまま数日過ごすか、その日のうちに薬剤を取り除くかという点です。
ウォーキングブリーチは薬剤から発生するガスが歯の内部で圧が高まり歯根に負担をかけて割れてしまうことがあります。
一方、インターナルブリーチは、薬剤の管理をクリニック内で完結させるため、そういったリスクがありません。
患者様にもこのようなメリットデメリットをお伝えし、インターナルブリーチを実施することになりました。
1.肉眼による診断
まず、歯科衛生士による肉眼での診断を行います。インターナルブリーチは神経の無い天然歯に対して行うホワイトニング方法のため、かぶせ物をしていたり広範囲なレジン充填がされている歯は対象外となります。
2.レントゲンによる診断
次にレントゲン撮影を行い、インターナルブリーチが問題なく行えるかの確認をしました。
ホワイトニング剤の根管漏洩によるリスクを避け、安全にインターナルブリーチを行うためにレントゲン画像での確認は非常に重要です。
確認するポイントは以下の2項目です。
・根尖部(歯の根っこの先)に再感染がないか
・根管充填剤(根管治療後に根管に詰める材料)は十分に充填されているか
※再感染が確認された場合は、再度感染根管治療が必要になります。
この2項目の診断の結果、問題なくインターナルブリーチを実施できる状態でしたので、下準備へ進みました。
3.下準備
インターナルブリーチは歯の表面と内側から薬剤を作用させるため、歯の裏側に穴を開け、根管内に薬剤が漏洩しないよう根管充填剤との境目をセメントなどで封鎖して、仮の蓋をしておきます。

4.インターナルブリーチ
施術部位をクリーニングし、仮の蓋をはずしてラバーダムというゴムのシートで粘膜を保護して薬剤の塗布をはじめます。

施術後、再度仮の蓋をして1回目が終了です。
元の色調により施術回数は変わりますが、希望の色調になるまでこの作業を繰り返していきます。
今回は2回で色調が改善しましたので、最終修復に進みました。
5.最終修復
最後にインターナルブリーチが終わってから1週間後にご来院いただき、最終修復を行います。1週間の期間を空ける理由は、施術直後では歯質とレジンの接着が不十分になるためです。当日は仮の蓋を取り除いてレジン充填を行い、終了となります。
治療後、患者様には「すごく自然!本当にやってよかった!」 と大変喜んでいただけました。
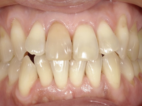
治療前の画像です。

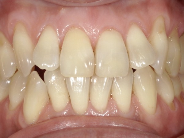
こちらが治療後の画像です。

・インターナルブリーチは十分に歯が残っている前歯が対象です。
・色調改善には個人差がありますので、施術回数を正確にお伝えすることは出来かねます。
・施術直後は色の濃い飲食物をお控えいただきます。
今回のインターナルブリーチは、大きく歯を削らずに変色してしまった歯の色調を改善できる治療法です。ご自身の歯をできる限り残したまま治療ができるため、その後何かのきっかけで再度虫歯になったり歯が欠けてしまったりした場合でも、かぶせ物などの治療を選択することができます。
歯の変色でお悩みの方は、いきなり歯を削って治療する前に、一度ご相談ください。
なお、現在港南台パーク歯科クリニックでは定期健診やホワイトニングで多くの患者様にご来院いただいており、非常にご予約をお取りしにくい状況となっております。「いつまでに白くしたい」「このくらいまで明るくしたい」等のご希望がございましたら、早めのご連絡をおすすめします。
当院では、各種ホワイトニングをご希望の方には「ホワイトニング相談」を受けていただいております。お電話でのご相談は承っておりませんので、「ホワイトニングに興味がある・やってみたい」とお考えの方は「ホワイトニング相談」のご予約をお願いいたします。ホワイトニングを担当する歯科衛生士が丁寧にご説明させていただきます。
港南台パーク歯科クリニック 歯科衛生士大野
こちらもご参照ください。