2025/10/30

治療内容
大臼歯の精密根管治療期間
4週間治療回数
2回費用
精密根管治療相談 5,500円(税込)
患者様は30代の男性です。主訴は「右下の奥歯がズキズキ痛くて辛い、我慢できない」というものでした。
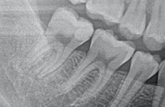
こちらが初診時のレントゲン写真になります。

レントゲン写真を見ると、以前治療した詰め物(コンポジットレジン)がかなり神経まで近接していることが分かりました。おそらく非常に大きな虫歯治療を数年前にしたものかと思われます。
また、レントゲン写真を細かく見ると、詰め物の下に黒い影があり、虫歯になっていることも分かります。昔の詰め物の隙間から虫歯が再発し、細菌が神経に到達してしまったことで、歯の神経が炎症を起こしている状態です。歯科用語では歯髄炎という状態になり、自発痛(ズキズキした痛み)が出てしまっているので、残念ながら神経を取る治療(抜髄)が必要となります。
①相談
患者様に保険診療で行う治療と保険外で行う治療の説明をさせていただいたところ、今後のことを考え、より良い治療を希望されたため、保険外で治療を行なっていくこととしました。保険外診療のメリットは患者様一人ひとりに対する治療時間を十分に確保できることです。そのため、よりきめ細やかな施術が可能となり、治療の成功率が確実に上がります。
②神経を取る治療(抜髄)
まずは施術中の痛みがないように部分麻酔をしっかり行い、根管治療ではとても重要なラバーダムを装着します。ラバーダムを装着することで、唾液中の細菌を根の中に入れないようにします。また、神経の治療では次亜塩素酸という漂白剤のような成分の薬剤で根の中をジャブジャブ洗浄しますので、薬剤がお口の中に漏れるのも防いでくれます。
古い詰め物を除去したところ、詰め物の下に茶色く虫歯に感染してしまった歯質が認められました。虫歯を染める液体や顕微鏡を用いて徹底的に虫歯を取り除きます。ここで虫歯を取り残してしまうと、細菌が根の中に再感染してしまう可能性があります。そのため、今後の再発を防ぐためにはしっかり時間をかけて虫歯を取り切ることが非常に重要です。
根の先までしっかり神経を取り除き、お薬を入れられるようにするために、ニッケルチタン製のファイルと呼ばれる器具を用いて根の中を広げます。ニッケルチタンは柔軟性に優れた器具になりますので、今回のような曲がっている根に対して非常に有効です。ニッケルチタンファイルは非常に高価な器具です。保険外診療では全て新品のニッケルチタンの器具を用いているため、器具破折のリスクも防ぐことができます。
徹底的に洗浄・消毒を行い、きれいな状態になった事を確認します。
こちらが根の中の神経を綺麗に取り除き、消毒した後の状態をマイクロスコープで見た写真になります。

③根管充填
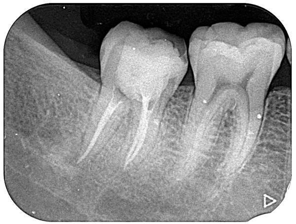
神経を取り除いた空間に綺麗にガッタパーチャというゴム性の材料を充填します。この材料を綺麗に詰めることで、細菌の繁殖するスペースを無くし、また根の先の方に細菌が入り込むことを防ぎます。材料を充填した後、根の先端まで材料が届いているかどうかをレントゲンで確認します。

④築造
根管充填後、お口の中の細菌が根の中に再び入ってこないように接着性のあるレジンでしっかりフタをします。
患者様からは「神経を取る治療をした後は全く痛みがなくなりました」とお声をいただきました。また、神経を取る治療を行なった後は被せ物を入れる治療を行いましたが、噛んでも痛みもなく、問題なくお食事ができているとのことです。
・根管治療は根管内に感染してしまった目に見えない細菌相手の治療となるため、確実に治癒する保証はありません。成功率もあくまで確率ですので、歯の状況に応じて%も上下します。
・通常の根管治療で治癒しない場合は、外科的歯内療法(歯根端切除術)を行う場合があります。
・精密根管治療は保険適応外の自由診療での治療となります。
・保険内の根管治療も行なっておりますので患者様のご希望に応じて治療が可能です。
・根管治療後は補綴治療(被せ物)が必要です。自由診療で根管治療を行なった場合は国のルールで被せ物も自由診療で行う必要があります。
今回は歯髄炎という症状に対する抜髄治療(神経を取る治療)の症例を紹介させていただきました。虫歯のよくある経過としては『冷たいものがしみる』→『熱いものでもしみる』→『ズキズキ痛む』→『しみる症状がなくなり痛みが消える』というものです。ものすごく痛い時期を乗り越えると、一時的にではありますが、しみる症状や痛みがなくなることがよくあります。これは治ったのではなく、神経が細菌に侵されて壊死してしまったためです。
このような状態で放置してしまうと、根の中が細菌だらけになってしまい、根管治療を行なっても根の中を綺麗にすることが難しくなり、成功率も下がってしまいます。もちろん神経を残せれば1番良いですが、神経を残せない状態となってしまった際は早急に根管治療を行うことで、その歯の予後をより良いものにできます。
虫歯はかなり進行しなければ自覚症状が出ません。少しでも症状がある方はぜひ一度ご来院いただき、診察させていただければ幸いです。
スタッフ一同お待ちしております。
港南台パーク歯科クリニック 精密根管治療担当医
こちらもご参照ください。