2025/10/21

治療内容
虫歯や歯周病に対する全顎的なインプラント治療期間
約10ヶ月治療回数
20回程度費用
インプラント 242,000円/本×5本(税込)
今回の患者様は60代の女性で、「前歯の差し歯が取れてしまっていたが、長期間放置してしまったので、今回しっかりと綺麗に直したい。徐々に、奥歯でも噛めなくなってきたので、しっかり噛めるように相談したい。」ということを主訴に来院されました。コロナ禍で歯科になかなか行くタイミングが見つからず、またマスク生活のせいで治療を先延ばしにしてしまったようです。
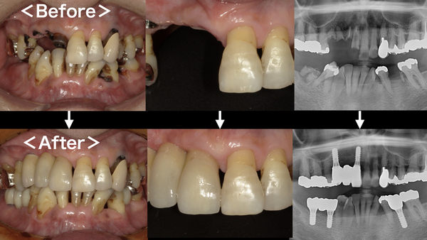
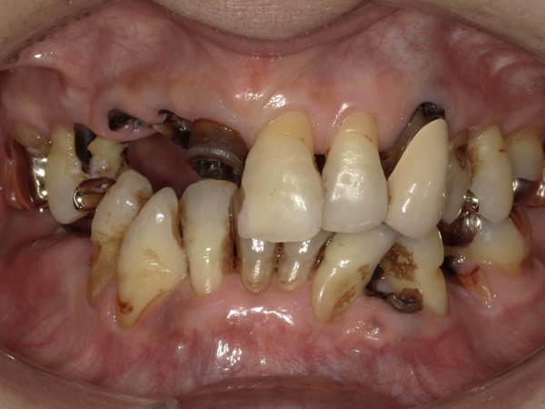
こちらが初診時のお口の中の写真となります。

右上の前歯の差し歯が取れてしまい、根っこだけが残ってしまっている状態です。
右下・左下にも同じように根っこだけの歯がいくつかあります。
①治療方針の相談
まずはレントゲン写真とお口の中の写真を患者様に見ていただき、お口の状態がどのようになっているのかしっかりと認識していただきました。
残念ながら、いくつか抜歯しなければいけない歯があることと、治療の選択肢としては保険診療のみで行うのであれば入れ歯、自由診療も行うのであればインプラント治療が可能という旨をお伝えさせていただきました。
左下に関してはブリッジも可能ではありますが、支えとなる歯の状態が悪いため、今回はブリッジをお勧めできる状態ではありませんでした。
患者様は『前歯を綺麗に治したい』『奥歯でしっかり噛めるようにしたい』『違和感の少ない方法で治したい』ということでしたので、今回はインプラントを用いて治療を行っていくこととしました。
②抜歯・歯周病の治療
最初に、残念ながら残すことができない歯の抜歯を行いました。
また、抜歯した部位が治るのを待っている間に歯周病の治療を行いました。
インプラントは虫歯にはなりませんが、歯周病にはなりますので、インプラント治療に先立って歯周病の治療を行っておくことがとても重要です。
ある研究によると、歯周病の方は健康な人に比べ、インプラントが歯周病になるリスクが4倍にもなると報告されています。
さらに、歯周病が重症な人ほど、インプラントも重症な歯周病になることが報告されています。
③インプラント治療
CTを撮影し安全にインプラント治療ができることを確認しました。
インプラントは3回に分けて行うこととしました。
患者様は初めてのインプラント治療でとても緊張されておりましたので、まずは1番簡単な左下のインプラント治療から行いました。
部分麻酔で30分程度で処置は終了し、術後の腫れや痛みもかなり軽度だったようです。(どこの治療を最初に行うかはとても重要です。患者様の不安を極力少なくできるように、治療の順番にも気をつけております。)
2回目は右下、3回目は右上の前歯と順番にインプラントを行っていきました。
どちらも部分麻酔下で、処置時間は1時間弱程度で終了しました。
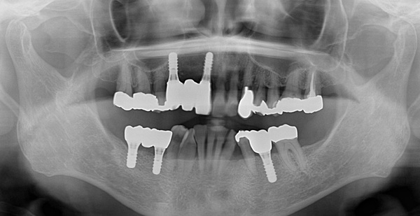
こちらがインプラント終了後のレントゲン写真になります。

無事に計画通り5本のインプラントが入りました。
④型取り・被せ物のセット
インプラントと骨がしっかり結合するのを2~3ヶ月ほど待ち、順番に被せ物をセットしていきました。
奥歯は白くて強度のあるジルコニアで被せ物を入れました。
ジルコニアはプラーク(細菌)や汚れが付着しにくく、インプラントが歯周病になるリスクを下げてくれます。
デメリットとしてはやや光沢がある点ですが、奥歯に使う分には大きな問題になることは少ないです。
前歯に関してはジルコニアでは光沢があって見た目が悪くなってしまうため、ジルコニアにセラミックを足したジルコニアセラミックという材料で被せ物を製作しました。
隣の歯と自然な被せ物が入るように色合わせの写真を何枚も撮りました。

こちらが前歯のジルコニアセラミックの写真になります。よく見るとジルコニアにセラミックが足されているのが分かります。

技工士さんが写真を見ながら、歯の根の色や細かい色調を似せて作っていきますので、自然の歯にかなり近い状態で被せ物が再現されております。
こちらがセット後の写真になります。

⑤セルフケアの指導
インプラントのみならず、極力自分の歯が長持ちするようにご自宅での歯磨きやケアの仕方を歯科衛生士からしっかりと指導をさせていただきました。
全てに当てはまることですが、放置してしまうことが1番良くなく、今後どのような管理をするかによって、今後のお口の健康を大きく左右します。

奥歯にインプラントを入れたことで奥歯でしっかり食事が噛めるようになり、患者様は大変喜ばれておりました。
また、しばらくなかった前歯もとても綺麗に入り、大変満足されております。
・予後を完全に保証するものではありません。
・インプラント治療は保険外での治療となります。
・患者様のお身体やお口の状態によってはインプラント治療が適応できない場合がございます。
(なお、インプラント治療前に歯周病治療をしておくことが、インプラント周囲炎になるリスクを下げることが分かっておりますので、歯周病がある方はまずは歯周病治療が優先となります。)
・インプラントは歯周病になる可能性があります。
(ご自身でのケアや歯科医院でのケアが非常に重要となります。)
今回の症例では、歯科医院にしばらく行かなかったことで、残念ながら数本の歯を抜かなければなりませんでした。もっと早く歯科医院を受診されていたら、抜かなくて済んだ歯があったかもしれません。少しでも調子が悪い、違和感を感じた場合は早めの受診をお勧めします。
どんな病気でもそうですが、初期の段階で見つけることができれば、最小限の治療で済みます。末期の状態になりますと、治療期間も長くなり、費用も高くなり、治療時の苦痛も大きくなってしまいます。そういった意味で定期的に歯科医院を受診したり、クリーニングや定期検診を受けたりすることで早期発見・早期治療を行っていくことは非常に大切です。
もう入れ歯しかない、手遅れだと思っている患者様がおりましたらぜひ一度、勇気を出して港南台パーク歯科クリニックに相談にいらしていただければ幸いです。
保険診療のブリッジで治療が可能な場合もあります。また、インプラントを用いた治療では、以前のように違和感のない自然な見た目や食事が可能になります。少しでも早く治療に取り掛かることで、ご自身の大切な歯を守り、治療期間や費用、治療による苦痛を最小限にすることができます。
私は歯科医師になり13年目になりました。ホームページにも症例を挙げておりますように、多数の症例を経験し、知識・技術も向上してまいりました。
今後も、少しでも多くの方のお口のトラブルのお助けを、全力でできればと思っております。
港南台パーク歯科クリニック院長 川又
こちらもご参照ください。