2025/11/26
, インプラント

治療内容
下顎の奥歯のインプラント治療期間
7ヶ月治療回数
12回費用
インプラント手術(2本) 484,000円(税込)
患者様は50代の男性の方です。当院に長年通院されている患者様でしたが、メインテナンス時に『右下のブリッジの土台の歯が腫れた』という訴えがありました。
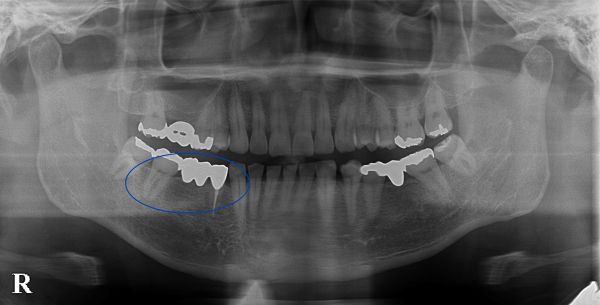
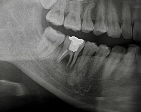
こちらがその時のレントゲン写真になります。

右下4番目と7番目の歯でブリッジが入っておりました。右下4番目の歯の周囲に薄く骨が溶けている像が見られました。
歯根破折(根のヒビ)を疑いましたが、マイクロスコープを用いても歯根破折を確認できなかったため、再根管治療(根の治療のやり直し)を行い、しばらく経過を見ました。
数ヶ月後のメインテナンス時にレントゲン写真を撮影したところ、周囲の歯の骨の吸収が進んでいることが分かりました。
こちらがその時のレントゲン写真になります。

残念ではありますが、抜歯を行いました。抜歯した歯をよく観察すると、数ヶ月前にはマイクロスコープを用いても確認できませんでしたが、歯根破折を認めました。
患者様と歯がなくなってしまった部位について、今後どのような方法で歯を入れていくかを相談しました。
治療法①:部分入れ歯(治療は簡単ではありますが、1番違和感が強い治療になります)
治療法②:ブリッジ(右下3番目と7番目の歯でブリッジも可能ではありますが、土台の歯に無理な力がかかるため、保険診療適応外となります。また、両サイドの歯を大きく削り、余計な負担をかけるため、歯根破折や歯周病・虫歯のリスクが高くなってしまいます。)
治療法③:インプラント(保険適応外で治療費は1番かかりますが、両サイドの歯への影響がないため、他の歯を傷つけずに1番違和感がない仕上がりとなります)
患者様は、ブリッジで歯根破折の経験をしているため、これ以上自分の歯を失いたくないということで、インプラント治療を希望されました。
治療の手順は次の通りです。
①抜歯後、CTによる診断
抜歯後、2ヶ月ほど骨と歯茎が治るのを待ち、CTを撮影しました。CTを撮影して、シミュレーションを行ったところ、問題なくインプラント治療が安全に行えることがわかりました。
②インプラント手術
部分麻酔を行い、インプラント治療を行いました。周囲の骨が少し溶けてしまっていたため、骨を作る処置も同時に行いました。
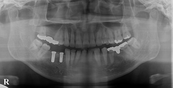
処置時間は40分程度で問題なく終了しました。処置後のレントゲン写真がこちらになります。

骨を作る処置を行いましたので、少々腫れと痛みが出ましたが、お薬でコントロールできる範囲でした。
③型取り
インプラントと骨が結合するのを3ヶ月ほど待ち、インプラントの被せ物の型取りを行いました。
④被せ物のセット
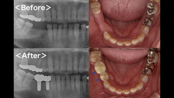
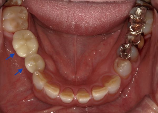
被せ物(ジルコニア)が出来上がってきましたので、微調整を行い、お口の中にセットしました。セット後のお口の中の写真とレントゲン写真がこちらになります。


治療後は違和感なく、ご自身の歯のようにお食事が取れるようになり、インプラント治療を選択されたことにとても満足されております。
現在は4ヶ月に1度ほど定期検診にいらしていただき、インプラントおよびご自身の歯が長持ちするようにメインテナンスを継続しております。
・予後を完全に保証するものではありません。
・インプラント治療はお身体やお口の状態によっては、治療が適応外となる場合がございます。
・インプラントは虫歯にはなりませんが、歯周病になるリスクはございます。ご自身でのケア、クリニックでのケアが非常に大切です。
・下顎のインプラント治療は神経麻痺(痺れ)が出る危険性が、極稀ではありますがございます。CTをしっかり撮影し、十分な安全性を確認してから行うことが大切です。
今回は残念ながらブリッジで歯根破折を起こしてしまい、抜歯となってしまった患者様のインプラント治療をご紹介させていただきました。
ブリッジ治療もケースを選べば、とても患者様にメリットのある治療ではありますが、神経がすでに取られている歯を土台とする場合は注意が必要です。
神経がある歯を土台とする場合は、歯根破折を起こすケースはかなり少ないと思います。
しかし、神経をすでにとってある歯を土台とする場合は、すでに弱くなっている歯に、さらに余計な負担をかけることになりますので、歯根破折を起こす可能性が非常に高くなってしまいます。
今回のケースは、右下の4番目(神経が取られている)と7番目(神経が残っている)の歯でブリッジ治療が行われておりました。
やはり右下4番目の神経が取られている歯が歯根破折を起こし、抜歯となってしまいました。神経が取られている歯はブリッジの土台のみならず、単独でも歯根破折を起こすケースが多々あります。
このように弱っている歯にさらに負担をかけてしまうと、歯根破折を起こす可能性がかなり高くなってしまうのが分かるかと思います。
歯根破折は日本人の歯を失う原因の第3位(約18%)となっております。下記は歯根破折の症例の画像です。


自分の歯をこれ以上失わないようにするために、インプラント治療が非常に有効になるケースも多々ございます。
ブリッジとインプラント治療で悩まれている方がおりましたら、ぜひ一度当院でご相談をいただければ幸いです。
当院では多数のインプラント・ブリッジ治療を行っておりますので、患者様により適した治療プランをご提案できるかと思います。
その他、お口のことや治療のことで何か気になることがございましたら、お気軽にご相談ください。
スタッフ一同お待ちしております。
港南台パーク歯科クリニック院長 川又
こちらもご参照ください。
【症例】マイクロスコープを用いた抜髄(神経を取る治療)
記事はありません