2025/10/10
, 歯科の知識

こんにちは、港南台パーク歯科クリニックの歯科衛生士です。
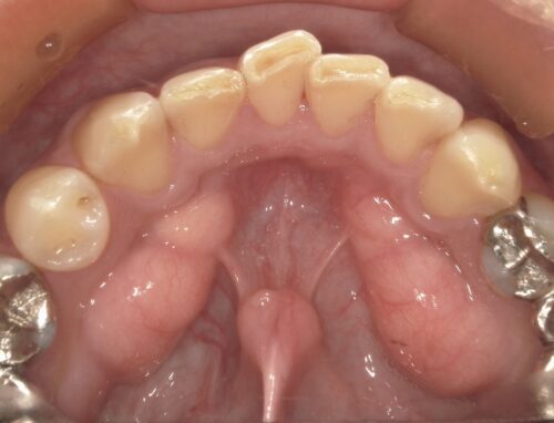
今回は”骨隆起”というお口の中にできる白いコブの正体についてお話しします。
突然ですが、歯茎にこの様なコブができていませんか?

皆様もお口の中を確認してみてください。
このコブの正体は“骨隆起”といいます。
“骨隆起”とは、顎の骨が過剰に成長することにより、歯茎などの表面上に骨がボコッと盛り上がった状態をいいます。
検診の際にも、患者様からある日、歯茎に白いコブができてしまったのですが、悪いものですか?
放っておいて自然に治りますか?と質問をいただくことが多くあります。
もしかしたら,口腔癌かも?と不安になられる方も少なくないと思います。
気づいた時には出来ていたので、びっくりしてしまいますよね。
結論から言いますと、骨隆起自体は悪いものではありません。
しかし、自然に治ったり大きさが小さくなったりすることもありません。
では、骨隆起はどのような場所にできやすいのでしょうか。
大きく分けると、次の3つの箇所にできやすいです。

下顎隆起

口蓋隆起

歯槽隆起
骨隆起ができやすい人の特徴を以下にご紹介します。
1.歯ぎしりや食いしばりをする方
→歯ぎしり食いしばりによって、顎の骨に強い力がかかることで骨が過剰に発達します。
2.噛み合わせが悪い方
→噛み合わせが深い方や歯列不正により口腔内の噛み合わせがアンバランスになっている方は、特定の箇所に力がかかってしまうため、注意が必要になります。
また、抜けた歯を放置してしまうと、噛み合わせのバランスを崩す原因になりますので気をつけましょう。
3.デスクワークや力仕事をされる方(スポーツ選手・運送業など)
→長時間のPC・スマホ作業により、下を向く時間が長い方は、上下の歯が接触している時間が長くなってしまいます。
また、力仕事やスポーツなどで、ギュッと噛みしめる機会が多い方は、顎に強い負担がかかるため、骨隆起ができやすくなります。
基本的に、骨隆起はある日突然できることはありませんが、日々歯に力がかかり続けることで徐々にできていきます。
骨隆起を除去するには外科的な治療が必要になります。
基本的に痛みを伴わないため治療は必要なく、放っておいても問題はありませんが、
・入れ歯が骨隆起に当たって痛い
・喋りづらい
・食事の際に硬いものが触れると痛い
など日常生活に支障が生じてしまう場合は治療を検討してみても良いかと思います。
1.ナイトガードやスポーツ用マウスピースを使用する
就寝時、歯ぎしりをする方やスポーツで食いしばる場面の多い方は、マウスピースの装着をおすすめします。
マウスピースを装着することで、骨隆起の成長を抑えることができます。
それだけではなく、マウスピースには、歯のすり減りや歯の破折防止、顎の負担軽減など様々な効果が期待できます。
2.噛み合わせをチェックする
年齢を重ねるとともに、歯のすり減りなどにより、噛み合わせにも変化が生じてきます。
定期検診などで、噛み合わせのチェックをすることをお勧めします。
3.意識的にコントロールしていく
常に意識するのは難しいですが、気づいた時に上下の歯を離す時間を増やすように日頃から心がけてみましょう。
長時間のPC・スマホ操作などで下を向く機会が多い方は、合間に休憩を挟むことや操作時の姿勢に気をつけることも予防へ繋がります。
ついつい猫背になってしまいますが、悪い姿勢は顎への負担を大きくしてしまうので注意が必要になります。
「”骨隆起”自体は悪いのもではない」
「基本的に治療は必要ない」
しかし、骨隆起ができてしまう習慣の改善は必要かもしれません。
最後までお読みいただきありがとうございました。
その他お口のことで何か気になることがありましたら、気軽にご相談ください。
スタッフ一同お待ちしております。
港南台パーク歯科クリニック 歯科衛生士
こちらもご参照ください。
口が乾いて困っていることはありませんか?
記事はありません