2025/09/27
, 根管治療

治療内容
マイクロスコープを用いた上顎第一小臼歯の精密根管治療期間
1ヶ月治療回数
3回費用
精密根管治療相談 5,500円(税込)
患者様は40代の男性で主訴は『右上奥歯がが噛むと痛い』というものでした。
こちらが術前のレントゲン写真になります。

右上の前から4番目(第一小臼歯)の歯が治療途中の状態でした。レントゲン写真から根の中に詰める材料が根の先まで到達しておらず、根の先の骨が溶けている状態であることが分かりました。原因は根の中がしっかり清掃されない状態で不十分な材料の充填となってしまったため、根の中で細菌が繁殖してしまっているためです。
治療としては、まず根の中で繁殖している細菌を綺麗に取り除き、繁殖するスペースを作らずにしっかりと材料を詰めることになります。
①精密根管治療相談
当院では保険診療でもマイクロスコープを用いた根管治療を行っております。さらに、ご希望の患者様には、より治療の成功率を高めるための精密根管治療という診療メニューを設けております。精密根管治療では以下のような取り組みを行い、歯を残すためにできる最大限の努力を行います。
・マイクロスコープの活用
・CTの活用
・保険診療では認められていない材料の使用
・十分な診療時間の確保
相談の結果、患者様は保険外診療の精密根管治療を希望されました。
②精密検査
マイクロスコープ・CTを用いて根の治療をすることで、治癒が見込める歯かどうか判断します。というのも、根の治療を受けた歯は『歯根破折』というトラブルを抱えていることが多いからです。
歯根破折とは歯の根にひびが入ってしまった状態のことを指します。歯根破折をしてしまっている歯は残念ながら根管治療を行なっても、治癒することができません。また、レントゲン写真で歯根破折を発見できることは滅多にないのです(大きな破折でなければレントゲンでは分かりません)。そのため、マイクロスコープで根の中をよく見ることで歯根破折の有無を評価します。
今回のケースでは歯根破折は認めませんでしたので、精密根管治療を行なっていくこととしました。
③精密根管治療
~根管治療~
まずは根の中に細菌を入れないためにラバーダムを張ります。ラバーダムは根管治療の成功率を高めるとても重要なアイテムとなります。
こちらは治療を開始した際の根の中の様子です。

今回の歯は根管(根の中のトンネル)が2つあることが分かります。また2つの根管の間には細い隙間があり、この隙間に多数の汚染物質・細菌がいます。このまま詰めてしまうと、細菌を残したままになるので、再発する可能性が高くなってしまいます。
汚染物質と虫歯菌によって感染してしまった歯質を徹底的に除去した後、洗浄・消毒を行い、きれいな状態になった事を確認します。このような治療は裸眼では決して見ることができず、マイクロスコープを用いることで可能となります。これがマイクロスコープを用いることで治療の成功率が上がる理由です。
隙間を無くし、汚染物質を取り除いた後の状態です。

この日は根の中に水酸化カルシウムのお薬を詰めて終了です。水酸化カルシウムはアルカリ性のため殺菌作用があります。目で見えない細菌に対する治療となりますので、次亜塩素酸(漂白剤のようなもの)や水酸化カルシウムなどを用いて化学的に根の中の殺菌を行います。
~根管充填~
1週間ほどおき、水酸化カルシウム剤を綺麗に取り除き、最終的に根の中にガッタパーチャーと呼ばれるゴムの材料を緊密に詰めて、細菌が繁殖するスペースを無くします。

~築造~
外から細菌が入ってこれないように、根の上部を接着性のある樹脂で封鎖するとともに、被せ物が装着できるように土台をたてました。
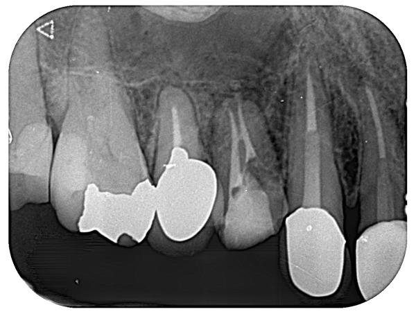
こちらが術後のレントゲン写真になります。

メインの2つの根管だけでなく、間にある側枝と呼ばれる通路にまでお薬が入ったことがわかります。
患者様は「噛むと痛い」という術前の症状が消えました。またレントゲンで根の先にあった黒い影も改善傾向を認めてきています。
・根管治療は目に見えない細菌が関わる治療なので、確実に治癒する保証はありません。また根の形はレントゲンで見えるような簡単な形態ではなく、とても複雑な形態をしておりますので、とても難しい治療になります。通常の根管治療で症状の改善ができない場合は、外科的歯内療法(歯根端切除術)を行う場合があります。
・精密根管治療は保険適応外の自由診療での治療となります。
・保険内の根管治療も行なっておりますので患者様のご希望に応じて治療が可能です。
・根管治療後は、歯根破折を防止するために補綴治療(被せ物)が必要です。精密根管治療を行なった場合は被せ物も保険外治療で被せなければなりません。
・根管治療後の歯は歯根破折する可能性が普通の歯に比べて高くなります。
マイクロスコープを用いることで根の中がとても鮮明に見ることが可能となりました。今までは根管治療は細かい部分までは決して見ることができず、盲目的な根の中の清掃となっておりました。しかし、マイクロスコープを用いることで、根の中が十分綺麗になったかどうかが鮮明に見えるようになったため、根管治療の成功率も大幅に上昇しております。
当院の精密根管治療では、術前後の根の中の状態を患者様にもモニターでご確認いただいております。全ての症例を治せるわけではありませんが、患者様ご自身もここまで根の中が綺麗な状態になっていると安心できるかと思います。
少しでもご自身の歯を残したいと思っている方には、ぜひ精密根管治療相談をおすすめします。
スタッフ一同お待ちしております。
港南台パーク歯科クリニック 精密根管治療治療担当
こちらもご参照ください。