2021/08/17

治療内容
前歯の見た目の改善期間
1ヶ月治療回数
4回費用
セラミッククラウン(e.max)99,000円(税込)×3本
患者様の主訴は、『前歯が取れた、いい機会なので綺麗に治したい!』とのことでした。
左上1番目の歯の被せ物が取れてしまい、右上2番目の被せ物も今にも外れてしまいそうな状態でした。
また、左上2番の歯も被せ物と自分の歯との境目が出てきてしまっており、色も全く合っていませんでした。
右上の2番目・左上3番目の歯にも虫歯がありました。

初診当日に右上1番と左上2番目の古く変色した被せ物を除去したところ、土台も虫歯になっていたため、白いファイバーコアを立てました。
左上1番の金属の土台(メタルコア)も除去して白いファイバーコアにすることが見た目を考えると理想的ですが、かなり長い土台が入っていたため、患者様と相談の上、今回は外さずに治療していくこととしました。
右上の2番目・左上3番目の歯は虫歯をしっかり削り、コンポジットレジン(CR)にて修復しました。

当日は簡易的ではありますが仮歯を作成して、終了としました。
簡易的な仮歯ではありますが患者様は大変喜ばれ、『こんなに簡単に綺麗にできるのであれば、もっと早く歯医者に来ればよかった!!!』とおっしゃっていました。

久しぶりの歯科受診のため、2回目の診療ではすぐに型取りはせず、クリーニング(歯石取り)を行いました。歯石の沈着はみられたものの、幸い歯周病についてはほとんど問題がありませんでした。
3回目の受診で型取りを行いました。硬質レジン前装冠(保険適応)・ジルコニアセラミッククラウン・セラミッククラウン(e.max)の長所・短所を説明させていただいたところ、患者様はセラミッククラウン(e.max)での治療を希望されました。何種類もある色の中から最も調和する色を選びました。

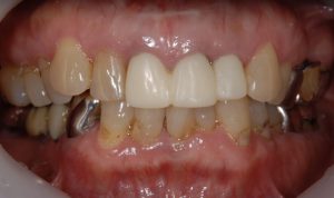
セラミッククラウン(e.max)がいよいよ出来上がってきました。色・形・適合もばっちりでしたので、歯科用セメントにてセットしました。

患者様は、今まで前歯にかなりコンプレックスを持っていらっしゃったそうですが、治療後は人前で前歯を隠すことなく笑えるようになったとのことです。
術後5年ほど経過しましたが、セラミック修復ですので、色調の変化もなく、セットした時の状態が維持されています。
またセラミックはプラークなどの汚れが付着しにくい材料なので、被せ物の周囲にほとんど汚れが付着しておりません。
プラークがつきにくいことは、虫歯や歯周病・口臭などの予防にも効果的です。
セラミック治療はとても見た目が美しく、虫歯・歯周病・口臭などの予防にも効果的です。
また、メタルフリー修復は金属を使わない治療になりますので、金属アレルギーの心配もありません。歯科用金属で金属アレルギーを起こす確率は低いですが、実際にアレルギー症状が出てしまった際は悲惨です。
歯科材料は自分自身の体の一部になる材料ですので、材料のメリット・デメリットをしっかりと把握した上で、選択いただければと思います。
前歯にコンプレックスを持っている方は多いと思いますが、簡単な歯科治療で解決できるケースも多いです。
港南台パーク歯科クリニックでは、治療方法や治療期間などについて、患者様に丁寧にご説明しています。審美治療などで少しでもお悩みの方は、是非一度港南台パーク歯科クリニックにご相談ください。
こちらのページもご参照ください。
審美歯科治療・ホワイトニング|港南台の歯医者 港南台パーク歯科クリニック