2026/03/25

治療内容
セラミック治療期間
2週間治療回数
2回費用
セラミックインレー(e.max)60,500円 (税込)
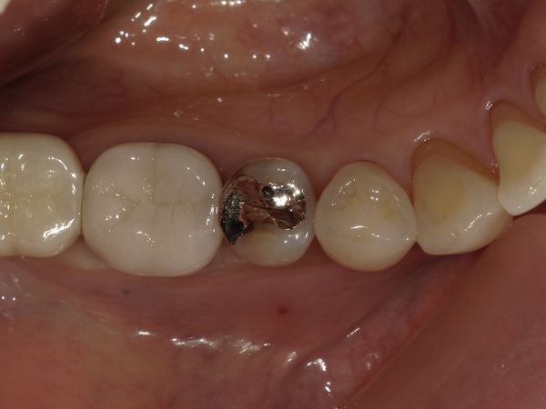
患者様は60代の女性で、主訴は「右下の銀歯の違和感」でした。
こちらが初診時の銀歯(メタルインレー)の写真になります。

右下5番目の歯には、数年前に保険診療により別の歯科医院で装着された銀歯が入っていました。よく見ると、銀歯と歯の境目が黒くなっているのが分かります。
①銀歯の除去
部分麻酔を行い、銀歯を外しました。こちらが銀歯を外した状態の写真になります。

銀歯の下で虫歯が茶色く広がっているのが分かります。虫歯を染める薬液を使いながら、丁寧に虫歯を取り除きました。
今回のケースでは虫歯は神経まで達しておらず、神経を残すことができました。
②詰め物の相談
今回の治療で使用できる詰め物について、以下の通り説明させていただきました。
・メタルインレー
保険診療で治療可能な金銀パラジウム合金を用いた詰め物です。メリットは保険診療のためコストが抑えられる点です。デメリットとしては見た目が良くないこと、金属アレルギーのリスクがあること、また今回のケースのように金属が劣化してくると隙間から虫歯になりやすい点が挙げられます。
・CAD/CAMインレー
保険診療で治療が可能なプラスチック製の白い詰め物です。最大のメリットは保険診療で白い詰め物が入れられるため、コストが抑えられる点です。デメリットはプラスチックのブロックから機械で詰め物を削り出すため、細かい作業ができず、不適合になりやすい点です。適合が不十分な場合、虫歯のリスクが高まります。また強度が弱いため、詰め物の割れを防ぐために歯を削る量が増える傾向があります。結果として、術後の知覚過敏や痛みのリスクが高まる可能性があります。
・セラミックインレー
自費診療のセラミックを用いた詰め物です。最大のメリットは天然歯に近い色調で治療が可能な点です。CAD/CAMインレーと比較して強度が高く、歯を削る量も抑えられ、詰め物が割れるリスクも減ります。また、港南台パーク歯科クリニックで使用しているセラミックインレーはブロックから削り出すタイプではないため、より精密で適合性の高い詰め物の作成が可能です。そのため、虫歯予防にもつながります。デメリットは自費診療のため、60,500円(税込)の費用がかかる点です。
・ジルコニアインレー
自費診療で使用するジルコニア(人工ダイヤモンド)を用いた詰め物です。メリットは非常に高い強度です。欠けや割れが起こりにくく、歯を削る量も白い材料の中では最も少なく抑えられます。デメリットとしては、近年は改善されてきていますが、セラミックと比較すると審美性がやや劣る点です。また、自費診療となりますので費用は88,000円(税込)と高額になります。
上記選択肢を説明させていただいたところ、今回はセラミックインレーで治療を行うこととなりました。
③型取り
歯の形を丁寧に整え、型取りを行いました。

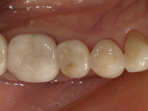
④セラミックインレーの装着
こちらが完成したセラミックインレーです。


適合・噛み合わせに問題がないことを確認し、歯科用セメントで装着しました。

治療後は不快症状もなく、経過は良好です。
お口を開けた際に気になっていた銀歯が自然な白い詰め物に変わり、患者様にも大変ご満足いただけました。
・予後を完全に保証するものではありません。
・セラミックインレーはCAD/CAMインレーと比較して強度は高いものの、噛み合わせや歯ぎしりなどにより欠ける可能性があります。適切な噛み合わせの調整や症例選択が重要です。症例によっては、より強度の高いジルコニアが推奨されることもございます。
・自由診療となります。港南台パーク歯科クリニックではセラミック治療に3年間の保証期間を設けております。
今回の症例のように古い金属の詰め物を外すと、その下で虫歯が進行しているケースが多くあります。
なぜこのようなことが起きるのでしょうか。
そもそも詰め物が入っている部位は、歯磨きがしにくく虫歯ができてしまった場所です。そこを治療すると、詰め物と歯の間に境目ができます。この境目の適合が悪いと、「もともと磨きにくい場所」に「さらに汚れが溜まりやすい場所」が生まれてしまいます。しっかりとした治療がされなければ、治療したにもかかわらず虫歯になりやすい環境をつくってしまい、次のような悪循環につながります。
「小さい詰め物」→「大きい詰め物」→「神経をとる治療」→「根の先が膿む」→「根の治療のやり直し」→「歯の根が割れて抜歯」
このような事態を防ぐためにも、詰め物の精度と適合性はとても重要です。
虫歯を治療した部位は、精度の高い詰め物を入れなければ再発のリスクが非常に高まります。そのため、より精密で適合性に優れたセラミックやジルコニアといった素材での治療をおすすめしています。
しかし、セラミックやジルコニアを入れたから安心というわけでは決してありません。セラミックやジルコニア治療は術者の腕で大きな差が出る治療になりますので、信頼できる歯科医師の施術を受けることをおすすめいたします。
港南台パーク歯科クリニックでは、セラミックやジルコニア治療の実績も多数ございます。銀歯を白くしたいとお考えの方はぜひ一度ご相談ください。
スタッフ一同お待ちしております。
港南台パーク歯科クリニック 院長 川又
こちらもご参照ください。