2026/02/25

治療内容
奥歯のインプラントによるブリッジ治療期間
約3ヶ月治療回数
10回程度費用
CT・診断料 無料
患者様は70代の男性です。主訴は『右下の歯茎が腫れて噛むと痛いので診て欲しい』というものでした。
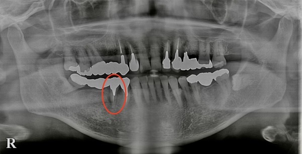
初診時のレントゲン写真がこちらになります。

右下にブリッジが入っており、その支えとなっている右下5番目の周囲の歯茎に腫れを認めておりました。
①腫れの原因の精査
右下5番目の歯の周囲の歯周ポケットを調べると8mm程度の深さがありました。正常は3mm以下ですので、かなり深い歯周ポケットがあり、歯周病の状態であることが分かりました。
この歯は過去に根管治療(神経を取る治療)を受けていた上に、ブリッジの支えとして通常以上の過剰な力がかかり続けていたため、歯根破折(歯の根にヒビが入ること)をしている可能性を疑いました。
歯根破折を確認するためにブリッジを外し、マイクロスコープで調べたところ、歯根破折していることが分かりました。残念ながら歯根破折してしまっている歯は残すことができませんので、抜歯をさせていただきました。
②治療方法の相談
今回のケースの治療方法としては『部分入れ歯』と『インプラント』の2つの治療方法があります。
患者様は違和感なく、しっかり噛める治療をご希望され、今回はインプラント治療を行っていくこととしました。
③インプラント治療計画
CTを撮影してインプラント治療の計画を立てました。今回は右下の5・6・7番目の歯が3本欠損している状態です。通常であれば、5番目と7番目にインプラントを入れてブリッジを行っていきますが、今回は患者様が『極力痛くなく、早く噛める状態にして欲しい』という強い要望がありました。
今回の症例では、5番目の歯は歯根破折により周囲の骨が溶けてしまっているため、ここにインプラントを入れようとすると『骨造成』という骨を作る処理が必要となり、治療期間が長くなる上、術後の腫れや痛みといった不快症状も強く出る傾向にあります。
そのため、6番目と7番目にインプラントを入れて変形のブリッジで治療を行うこととしました。
④インプラント手術
部分麻酔を行いインプラントを2本入れる手術を行いました。骨がしっかりしている部分にインプラントを入れるシンプルな処置方法を選択したため、処置は30分程度で終了しました。
こちらが術後のレントゲン写真になります。

シンプルな処置だったため、術後もほとんど腫れや痛みといった不快症状は出なかったようです。
⑤型取り
インプラントと骨がしっかり結合するのを2ヶ月程度待ち、型取りを行いました。
⑥被せ物のセット
ジルコニアブリッジが出来上がってきました。
こちらがジルコニアブリッジの写真になります。

細かい調整を行い、お口の中にセットしました。セット後はインプラントが長く持つようにケアの仕方を衛生士から指導させていただきました。

1週間後、噛み合わせやケアが適切にできているか確認するため、再度ご来院いただきました。患者様は全く違和感なく、食事ができていると大変喜ばれておりました。
・インプラント治療は良好な予後を完全に保障するものではありません。
(極めて稀ではありますがインプラントが骨と結合せず、やり直しをしなければならないケースがあります。)
・インプラントが虫歯になることはありませんが、歯周病になる可能性はあります。治療して終わりではなく、丁寧なセルフケアおよび歯科医院での定期的なメインテナンス・チェックが大切です。
・外科処置になりますので、患者様やケースによっては術後に強い痛みや腫れなどの一時的な不快症状が出る場合がございます。
今回はブリッジの支えとなっている歯の歯根破折に対するインプラント治療を紹介させていただきました。
ブリッジ治療も決して悪い治療ではありませんが、土台となる歯が弱ってしまっている場合はこのように歯根破折を起こしてしまい、結果としてさらに歯を失ってしまうケースが多々ございます。ブリッジを行う際は長期的なメリット・デメリットをしっかり確認した上で、メリットが上回る場合に適応されるべきかと思います。
インプラント治療は痛くて大変と思われている患者様が多数かと思います。確かにケースによっては痛みや腫れを強く伴うものもございます。しかし、全てがそのようなわけではありません。実際に骨の状態が良好だった患者様からは『思っていたより全然簡単な治療だった』という声も多々ございます。
また今回のようにインプラントをどこに入れるかによっても治療期間や術後の不快症状も全く違ったものになってきます。当院では患者様の『お口の状態』と『要望』をしっかり把握した上で、最適な治療方法をご提案させていただいております。
ご相談だけでも結構ですので、お困りのことがございましたらぜひ一度ご来院いただければ幸いです。
スタッフ一同お待ちしております。
港南台パーク歯科クリニック 院長 川又
こちらもご参照ください。
【症例】神経が死んでしまい、変色した歯に対するホワイトニング
記事はありません