2026/04/30
, インプラント

治療内容
左側上顎臼歯部のインプラント治療期間
約1年治療回数
11回費用
インプラント手術(骨造成含む) 242,000円(税込)
患者様は40代の男性で、左上の奥歯が何もしなくても痛みがあり、温かいもので痛みが強くなるとのことで来院されました。
口腔内診察で左上6番目の歯が縦に割れていることがわかり、破折がどこまで続いているかを判断するためにX線を撮りました。こちらが初診時のX線写真になります。

歯の中央部が縦に破折していることがわかりました。
破折は歯髄腔(歯の神経がある部分)にまで及んでおり、当日は痛みを取るために神経を取る処置を行いました。加えて、歯科顕微鏡で歯の内部や破折部を直接確認しました。
破折は3つある歯根のうち1つに限局していました。
治療後に患者様がご理解できるよう丁寧に病状の説明をし、当日の処置を終えました。
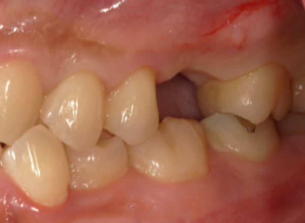
① 抜歯
次の診察の際にはすでに痛みが取れていましたので、再度当該歯の状態を説明し、その上で4つの治療法についてご提案いたしました。
ⅰ:破折した歯根のみを抜歯し、残った部分で被せ物をする
ⅱ:歯を丸ごと抜歯、ブリッジ治療
ⅲ:歯を丸ごと抜歯、インプラント治療
ⅳ:歯を丸ごと抜歯、入れ歯治療
それぞれの治療法のメリット・デメリットを十分にお伝えしたあと、一度考える時間が欲しいとのご希望があったため、当日は説明のみで終了いたしました。
再度来院された際に、患者様のご希望によりⅲのインプラント治療を進めていくこととなりました。
抜歯時、抜歯後に問題はなく、経過は良好でした。
② 診断
抜歯4ヶ月後に、治療部分のCTの撮影を行い、骨の形、量、幅などインプラント治療が可能かどうかを評価しました。
抜歯部には十分な骨の量があり、インプラント治療が可能であると判断しました。
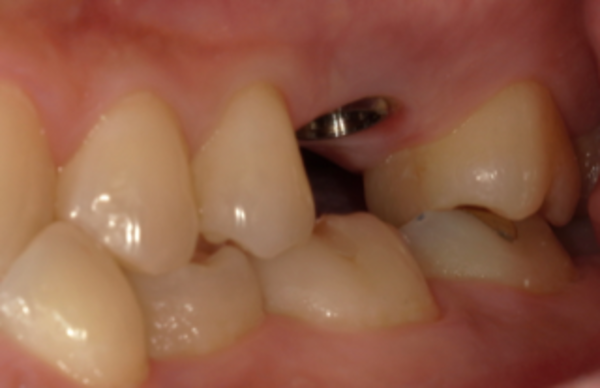
③ インプラント治療
当日来院された際に再度インプラント治療についての確認と同意書を記入していただきました。その後、部分麻酔を行い、インプラントを埋める処置を行いました。
治療後エックス線写真にて埋めたインプラントの確認を行い、問題ないことを確かめ処置終了としました。なお、治療時間は1時間弱でした。

④ 型取り
通常、インプラントと顎の骨とがしっかりと結合する3~4ヶ月後に型取りを行うのですが、患者様のご都合もあり、今回のケースではインプラントの処置後7ヶ月で型取りをしました。
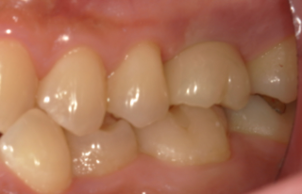
⑤ 被せ物の装着
インプラントの被せ物のジルコニアクラウンを調整し、口腔内のインプラントに装着しました。
インプラントの被せ物には
Ⅰ:セメントで固定する被せ物
Ⅱ:ネジで固定する被せ物
があります。今回のケースではⅡを選択しました。

患者様は、抜歯が決まった際に不安が大きかったそうですが、インプラント治療後は左側でもしっかりと噛めるようになり、見た目も違和感がなく、大変満足されていました。
・インプラント治療は全身状態やお口の中の状態などにより適応とならない場合がございます。
・インプラント治療は長期予後を完全に保証するものではございません。
当院では術前にしっかりと診査診断を行い、可能な限り長期予後を望めるよう努めております。
港南台パーク歯科クリニックでは患者様と十分に相談し、患者様にとって最善の治療法をご提案しています。
今回のケースでは患者様のご年齢や口腔内全体の状態など総合的に踏まえて、インプラント治療が最善であったと考えられます。
残念ながら歯を失ってしまったがどうすれば良いかわからない、しっかりと力を入れて噛めないなど、お困りの方はぜひ一度ご相談ください。
スタッフ一同お待ちしております。
港南台パーク歯科クリニック副院長 野上
こちらもご参照ください。
港南台パーク歯科クリニック|インプラント
港南台パーク歯科クリニック|症例|歯根破折したブリッジに対するインプラント治療
【症例】ブリッジが破損してしまった部位のインプラント治療
記事はありません