2026/03/31
, インプラント

治療内容
下顎の奥歯のインプラント治療期間
6ヶ月治療回数
10回程度費用
インプラント手術(2本) ¥484,000(税込)
患者様は、60代の女性の方で、『左下のブリッジが取れてしまったのでやり直しをしたい』とのことで来院されました。
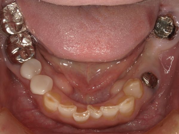
こちらが初診時のお口の中の状態です。

左下5番目と7番目を土台としたブリッジが外れてしまった状態です。
メタルコアという金属の大きな土台がお口の中に剥き出しとなっているのが分かります。
また、こちらが初診時のレントゲン写真になります。

①相談
まずは、ブリッジの土台の歯を残せるかどうかを判断しました。左下7番目の歯を拡大した写真がこちらになります。

左下7番目の歯には大きな金属の土台があり、よく見ると土台の周囲には茶色い虫歯が広がっているのが分かります。つまり、土台を外して虫歯をとっていくと歯茎の外側にほぼ歯がない状態となってしまいます。
左下5番目の歯も同様で、大きな金属の土台を外して虫歯を取ると、ほとんど歯茎の外側には健康な歯が残らない状態となります。また、レントゲン写真を見ると、とても太い金属の土台が入っているため、残っている歯がとても薄くなってしまっており、ブリッジで大きな力をかけた際に歯根破折(歯の根のヒビ)が起こる可能性が非常に高いことが予想されます。
虫歯の治療をする際は、歯が歯茎の外側にしっかり残っていなければなりません。今回の症例のような歯を無理に残すと、接着や型取りがうまくいかないためすぐに外れてきてしまったり、隙間から虫歯になってきてしまいます。
今回はどちらもこのような状態の歯であり、ブリッジを行ったとしても、短期間のうちに再治療になってしまう可能性が非常に高いです。このことを患者様にしっかり説明させていただいたところ、患者様は抜歯を希望されました。抜歯後は、部分入れ歯かインプラント治療が選択できますが、しっかり違和感なく噛める治療を希望されたため、今回はインプラント治療をしていくこととしました。
②抜歯
部分麻酔を行い、2本の歯を同時に抜歯しました。抜歯をする際も、ただ歯を抜けば良いのではなく、今後インプラント治療を予定しているため、残っている骨を極力傷つけないように慎重に抜歯を行いました。
③CTによる診断
抜歯3ヶ月後、CTの撮影を行い、インプラント治療が問題なく行えるかシミュレーションを行いました。骨の幅は十分ありましたが、一部骨がやせてしまっている部位がありましたので、インプラントを入れる処置の際に、骨を作る処置も行うこととしました。
また、下顎のインプラント治療を行う際は、下顎管という感覚神経(下歯槽神経)が入った管に注意をしなければなりませんが、今回は神経との距離も十分にあり、極めて安全にインプラント治療が行えるケースでありました。今回は、予算の都合上、2本のインプラントで2本の歯を作ることとしました。
④インプラント処置
部分麻酔を行い、インプラントを入れる処置を行いました。処置時間は2本のインプラント治療で1時間弱程度でした。
処置後は骨を作る治療も同時に行いましたので、軽い腫脹と痛みが出ましたが、お薬の服用でコントロールできる範囲だったとのことです。

⑤型取り(印象)
インプラントと骨がしっかり結合するのを3ヶ月ほど待ち、型取りを行いました。
⑥被せ物のセット
ジルコニアクラウンが完成しましたので、微調整を行い、セットしました。こちらがセット後の写真とレントゲン写真になります。


今回は、インプラントにトラブルがあった際にすぐに対応できるように、ネジで固定するタイプでセットを行いました。
ネジで固定するタイプは被せ物を外したい際に、容易に被せ物を外すことができます。また、インプラント周囲炎(インプラントの歯周病)の原因となるセメントの取り残しもございません。
セメントで固定するタイプのインプラントは見た目が良いというメリットもありますが、その方法ではセメントの取り残しによるインプラント周囲炎のリスクが高まります。また、外したい際に外れないことがあり、その際は壊す必要があります。そのため、当院では基本的にはネジで固定するタイプを採用しております。
患者様は、治療開始時はインプラント治療の外科処置に抵抗があり、心配されておりました。
しかし治療後は想定よりも負担が少なく、現在は違和感なく、しっかり噛めることに大変満足されております。
・予後を完全に保証するものではありません。
・インプラント治療は、お身体やお口の状態によっては、治療が適応できない可能性がございます。
・インプラントは虫歯にはなりませんが、歯周病(インプラント周囲炎)になるリスクがあります。定期的なメインテナンスおよびご自身でのケアが非常に大切です。また、インプラント治療前にしっかり歯周病を治療しておくこともリスクを下げるためには重要です。
・下顎のインプラント治療は神経麻痺(痺れ)が出る危険性が、極めて稀ではありますがございます。CTをしっかり撮影し、十分な安全性を確認してから行うことが大切です。
今回はブリッジ治療で不良になってしまった歯のインプラント治療を紹介させていただきました。今回のケースはもしかすると、他の歯科医院ではもう一度ブリッジを入れる治療を行うかもしれません。
ただし、その場合、表面上は治っているように見えていても実際には『虫歯をしっかり取り切ることができていない』『土台や被せ物の接着もうまくいっていない』『型取りもうまくできず、ピッタリとした被せ物が入っていない』など、様々な問題を抱えており、近い将来再び同じことが繰り返されてしまいます。一時的には改善したように見えますが、適切な治療ではないと思います。港南台パーク歯科クリニックでは今後の患者様のライフスタイルを考えて最良の治療を提示しております。
セカンドオピニオンや相談だけでももちろん結構ですので、皆様のインプラント治療のお手伝いが少しでもできれば幸いです。
スタッフ一同、皆様のご来院をお待ちしております。
港南台パーク歯科クリニック 院長 川又
こちらもご参照ください。