2021/10/05

治療内容
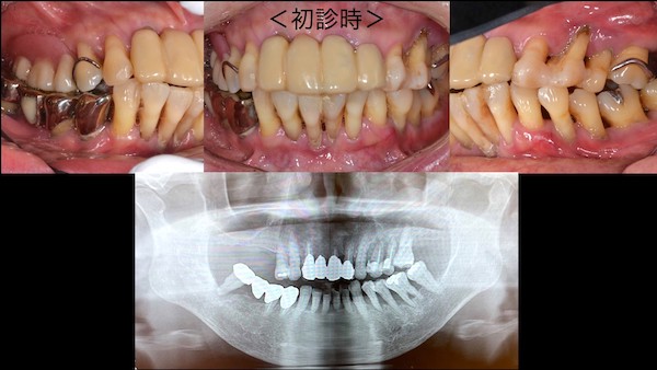
歯周病に対する基本治療・外科治療・インプラント治療期間
約2年治療回数
25回程度費用
インプラントのみ自由診療(税込2,805,000円)
患者様から、以下のようなメールの問い合わせがありました。
「近所の、インプラント治療重視を謳う歯科医院に行ったところ、『歯周病がひどいためインプラント治療は無理です。あなたの歯は1年ももたないので、入れ歯にするしかないでしょう』と言われました。暗い気持ちで他の歯科医院へ行ったところ、同じようなことを言われてしまいました。
そしてしばらく経つと、前歯4本が取れてしまったのです。また他の歯科医院に行ったところ、そこの歯科医師は『自分の歯を大事にするように』と、歯について貴重なお話をしてくれました。しかし、歯の見た目については、あまり考慮されないタイプの先生でした。
自分の歯を大事しながら、もう少し見た目を綺麗にすることはできないかと思っております」
患者様は、歯周病であることと前歯の見た目に、コンプレックスを抱えていらっしゃいました。
①歯周病の検査、治療説明
歯周病がかなり進行していたため、まずは検査から始めました。重度の歯周病で保存が難しい歯に関しては、抜歯することを説明しました。また、既に歯がない部分に関しては、入れ歯・ブリッジ・インプラント治療の3つの方法を提示し、メリット・デメリットを詳しくお伝えしました。
今回はかなり大掛かりな治療になるため、治療方針のご相談については、2回に分けてじっくりお話ししました。最終的に患者様は、ブリッジを装着できる部位に関してはブリッジで、入れ歯が必要そうな部位に関してはインプラント治療を希望されました。

②抜歯
保存が難しい歯を、抜歯しました。しかし抜歯したままでは見た目が悪いですし、食事を摂るのも難しいため、同日に仮歯をセットしました。
③歯周病コントロール(SRP)
ブリッジ・インプラント治療を行なう前に、歯周病のコントロールに取りかかりました。重度の歯周病になっている部分に対して、歯と歯茎の間(歯周ポケット)に隠れている歯石を、麻酔をした上で除去する「スケーリング・ルートプレーニング(SRP)」を行いました。
SRPは、担当の歯科衛生士が行います。一度ではなく数回に分けて行なうため、その都度、歯科衛生士が歯周病について細かく説明したり、セルフケア指導をしたりするので、患者様ご自身の、お口に対する意識を高めることに繋がります。
④歯科外科治療(フラップ手術)
SRPを行いましたが、まだ歯周ポケット内に歯石が残っていたため、歯周外科治療(フラップ手術)を行う方針とし、数回に分けてフラップ手術を実施しました。
※SRPは盲目的に歯茎の中の歯石取りを行うことになり、歯周ポケットが深い部位や、歯の根の形が複雑な部分の歯石まで、完全に取ることは困難です。
※歯周外科治療は歯茎を切開・剥離することによって、目でしっかりと確認した上で歯石取りを行うことが可能です。そのため、外科的な処置にはなりますが、より確実に歯石除去ができます。
⑤インプラント埋入手術
徹底的な歯周病治療を行い、歯周病をコントロールした上で、インプラントの埋入手術を順次進めていきました。今回は、お口の中を右上・左上・左下・右下と分けて、4回に分割して手術を実施しました。
⑥仮歯で見た目・噛み合わせを確認
インプラントが骨としっかり結合することと、歯周病治療をした歯茎の状態が落ち着くのを数ヶ月待った後、仮歯にて見た目・噛み合わせの最終的な確認を行いました。
⑦被せ物を装着
仮歯で見た目・噛み合わせに問題ないことが確認できたので、最終的に入れる被せ物を全てお口の中にセットしました。
インプラントを埋入した部分には、保険適用外のジルコニアを被せました。その他の部位には保険適用になる素材にしつつ見た目にも考慮し、「硬質レジン前装冠」および「CAD/CAM冠」を被せました。

⑧歯磨きの指導
被せ物が入って治療終了ではありません。今の健康な状態をできるだけ長くキープするには、何より「セルフケア」が重要となります。被せ物を入れた後に再度、歯磨き指導を行いました。
⑨定期メインテナンス
現在は2ヶ月に1度、定期的なメインテナンスで来院いただき、お口の状態を管理しています。
治療後は何より、前歯の見た目の変化について、大変満足していただけました。また、入れ歯にならずに治療が済んだこと、奥歯でしっかり食べ物を噛めることを、非常に喜んでいただけました。


・インプラント治療は保険適用外です。
・インプラントは虫歯にはなりませんが、歯周病にはなります。
歯周病の方は健康な方に比べて、インプラントを入れた部分の歯茎が歯周病になる可能性が高いです。そのため、歯周病治療をしっかり行なった上で、インプラント治療をすることが大切です。また、歯科医院での定期的なメインテナンスも、非常に重要です。
・患者様の健康状態、お口の状態によっては、インプラント治療を適用できないケースがあります。
・歯周病治療は患者様の協力が必要不可欠です。
今回のケースのように治療が長期間になることが多いため、患者様の「歯周病を治したい!」という意思がとても大切です。ご自宅でのセルフケアも、立派な歯周病治療になります。
今回のケースに関しては、患者様の「歯周病と見た目をなんとか治したい!!」という強い思いがなければ、ここまで大掛かりな治療を終えることは間違いなくできなかったと思います。歯周外科手術、インプラント治療など、辛い治療が多々あったと思いますが、無事に治療を完結することができて、そして患者様にも大変満足いただき、歯科医師として大変やりがいを感じた症例です。
私も患者様もここで満足するのではなく、この状態を末長く継続していけるようにしていかなければなりません。
歯周病は、治療がとても難しい病気です。患者様ご自身が「歯がグラグラしてきた」と感じる頃には、すでに抜歯をしなければならないケースが多いです。したがって、歯周病にならないようにすることがとても大切です。
また、歯周病を早期発見・早期治療することによって、重症化を防ぐことができます。そのためには、歯にトラブルが起きてから歯科医院に行くのではなく、健康な状態を維持するために、定期的に歯科医院に通うのが理想的です。
港南台パーク歯科クリニックでは、今後とも患者様の思いに寄り添った歯科治療を提供していきたいと思います。歯周病や、歯の見た目などでお悩みの方は、お気軽にご相談ください。
こちらのページもご覧ください。