2021/08/11

治療内容
先天的に大人の歯が欠損していた部位に対するインプラント治療期間
3ヶ月治療回数
7回費用
インプラント220,000円(税込)
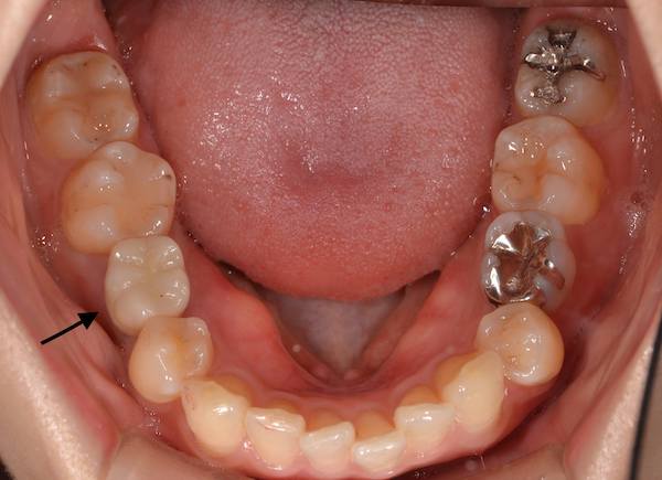
患者様は右下5番目の歯が先天的に欠損しており、大人になるまで乳歯が残っていましたが、歯の根が短いため抜けてしまいました。そこで、欠損部に対する補綴知治療を希望されました。(反対側の5番目の歯も先天性欠如ですが、まだ乳歯が残っています。)

インプラント治療を希望されたため、歯科用CTで撮影をして、骨の状態・質・安全性を確認しました。以前のブログ、「【症例】他院から依頼されたインプラント治療」でも記載しましたが、下の奥歯のインプラント治療を行う際は、下歯槽神経に注意しなければ、治療後に麻痺が出てしまう危険性があります。しかし今回の症例は、骨の幅が十分にあり、神経との距離もしっかりあったので、かなり安全性の高い治療が可能でした。
インプラント治療は部分麻酔下にて、30分程でトラブルなく処置が終了しました。今回は、不足している骨を作るという治療がなかったので、術後の腫脹や痛みなどの不快症状は、かなり少なく抑えられました。もちろん神経麻痺も出ませんでした。

傷口の確認・消毒を3回ほど行い、その後インプラントと骨が十分に結合(インテグレーション)するのを2ヶ月ほど待ち、被せ物(ジルコニアクラウン)をセットしました。



被せ物をセットした後は、自分の天然歯と同じように問題なく噛んで、食事ができています。見た目も、天然歯と見分けがつかないほど綺麗な仕上がりとなりました。
・予後を完全に保障するものではありません。(稀にインプラントが骨と結合しないケースがあります)
・自由診療での治療となります。
・歯科用CTの撮影により、治療部位と神経が近い場合は、神経麻痺を起こす可能性があります。
・インプラントは虫歯にはなりませんが、歯周病にはなります。トラブルがないか、定期的な検診で確認する必要があります(インプラントがなくても、歯科医院で定期的なケアを行うことが大切です)。
先天性欠如歯は、約10人に1人という比較的高い確率で起こることが分かっています(2010年日本小児歯科学会の調査)。
※先天性欠如歯について、詳しくはこちら
ブログ|「先天性欠如歯」は早期発見が大切です
先天性欠如歯に対しては、今回の症例のようにインプラント治療で対応することもできますが、ブリッジ、入れ歯、矯正での対応も可能です。
インプラント治療のメリットは、何といっても余計な歯を削らなくて済むことです。一度削ってしまった歯は、後々虫歯ができる可能性が高くなります。またインプラントであれば、自分の天然歯とほとんど同じように噛んで食事を楽しむことができます。自由診療である、そして外科的な処置が必要というデメリットはありますが、インプラント治療は先天性欠如に対して、とてもメリットのある治療法と言えます。
ブリッジによる治療も可能ですが、ブリッジは両サイドの歯を削らなければならないことが最大の欠点です。一度削ってしまった歯は、虫歯になりやすくなってしまいます。また、両サイドの2本の歯で、実質3本分の歯の力を負担するので大きな負担がかかり、長期的に考えるとその2本の歯も失う可能性が高くなります。
入れ歯による治療は、なんといっても違和感が強いのがデメリットです。食事をするたびに食べ物がはさまったり、硬いものを噛むと歯茎が痛かったりと、機能面ではおすすめできません。ただ、ブリッジと比べて自分の歯を削るのは少量で済みますし、治療が簡単というメリットもあります。
歯がない部分に隣の歯を移動させることによって、改善できるケースがあるので、症例によっては矯正治療も有効な治療法になります。港南台パーク歯科クリニックでは、矯正治療も月に1回行っておりますので、お気軽にご相談ください。
先天性欠損(欠如)で歯の本数が足りない、残っていた乳歯がグラグラしてきた、そんな悩みをお持ちの方は、是非港南台パーク歯科クリニックに一度ご相談にいらして下さい。
こちらのページもご参照ください。
インプラント|港南台の歯医者 港南台パーク歯科クリニック
審美歯科治療・ホワイトニング|港南台の歯医者 港南台パーク歯科クリニック