2021/11/04

治療内容
ジルコニアセラミックによる前歯のブリッジ治療期間
3ヶ月治療回数
6回費用
ジルコニアセラミック121,000円(税込)×3本
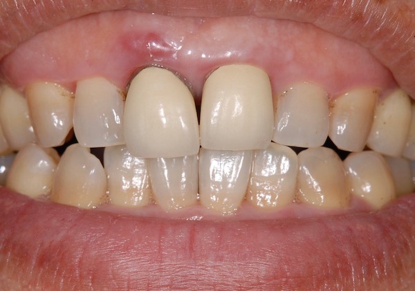
患者様の主訴は『20年前に、前歯に差し歯を入れたが、数年前から歯茎が赤く腫れて痛むようになったので診てほしい。また、前歯が伸びてきて長さが違うのが気になる。見た目をきれいにしたい』というものでした。

右上1番の歯茎の腫れの原因を調べるために、レントゲン撮影及び歯周病の検査をしましたが、原因がはっきりとは分かりませんでした。そこで、歯科用CTにて精査を行うことにしました。歯科用CTで撮影すると、次の3つの問題点が見つかりました。
①本来の根管とは別の部位に穴が空いている
患者様が以前診療を受けていた歯科医院において、根管治療(神経の治療)の際に誤って穴を空けてしまったものと推察します。CT画像と歯茎の腫れの部位が一致しており、これが歯茎の腫れの直接的な原因と考えられます。

②歯の根の先に嚢胞性の病変がある
恐らく歯根嚢胞と考えられ、歯の根の先のみならず、歯の根の唇側の骨も大きく溶けてしまっています。
※嚢胞とは、『体内に作られた、流動体または半流動体の分泌物などで満たされた袋状の病変』のことです。

③切歯管嚢胞と考えられる病変が認められる
切歯管嚢胞とは、前歯の根の後ろあたりにある「鼻口蓋管(切歯管)」にできる嚢胞です。歯とは直接的な関係はありませんが、歯科用CTにて発見することができました。

患者様に、CTから読影できる3つの問題点について説明し、①の右上1番の歯に関しては予後不良のため抜歯する方針としました。また、②歯根嚢胞及び、③切歯管嚢胞と思われる病変については、患者様が「口腔外科でさらにしっかり検査をしたい」と希望されました。そのため、今回は他院の口腔外科を紹介し、抜歯及び嚢胞摘出術を行ってもらいました。
その後2ヶ月ほど治癒を待ち、無くなってしまった右上1番の歯を補うために、ブリッジ・インプラント・入れ歯について説明をしました。患者様は「せっかくなので、自然な見た目に直したい」とのことで、ジルコニアセラミックによるブリッジ治療を希望されました。
両隣の歯を削って仮歯を入れました。

ジルコニアセラミックを自然な色調に作ってもらうため、患者様の歯の写真を何枚も撮りました。

ジルコニアセラミックができあがったので、歯科用セメントでセットしました。

治療後3年ほど経過しますが、ジルコニアセラミックによる治療のため、色調の変化もなく、患者様は見た目に大変満足されております。また、ジルコニアセラミックは汚れが非常につきにくい材質であるため、プラークなどの付着がほとんどないことが、メインテナンス時に確認できています。
・予後を完全に保証するものではありません。
・自費診療での治療となります。
・色調を合わせることはかなり難しく、一度で納得のいく色調が再現できないことがあります。その際は再度色合わせが必要になるケースがあります。
・ブリッジを行うため、両サイドの歯を削る必要があります。一度削ってしまった歯は今後虫歯になる可能性が高くなります。したがって、徹底的なセルフケア及び歯科クリニックでの定期検診が重要です。
今回の症例では歯茎の腫れの原因がはっきりとしませんでしたが、歯科用CTを用いたことで、腫れの原因が明確に分かりました。また、別の2つの嚢胞性病変を発見することもできました。歯科用CTを用いることで、より確実な診断及び治療が可能となります。
今回はブリッジによる治療を患者様が選択されましたが、ブリッジの最大のデメリットは両隣の歯を削らなければならないこと、そして土台となる歯が、通常以上にかかる力を支えなければならない点です。
歯を削るデメリットは、治療によるつなぎ目ができてしまい、そこから虫歯になる可能性が高くなってしまうことです。ブリッジをできるだけ長く機能させるためには、より精度が高く汚れがつきにくい材料をセレクトすることが重要です。ジルコニアセラミックは自費診療となりますが、その点で非常に優れた材料です。
また、長期間ブリッジを機能させるためには、セルフケアも非常に大切です。ブリッジをセットされた方のセルフケアに関しては、港南台パーク歯科クリニックの担当衛生士がしっかりと指導を行います。
港南台パーク歯科クリニックでは、ジルコニアセラミックによる修復の実績が多数あります。歯の治療や予後不良で悩んでいる方がいらっしゃいましたら、ぜひ一度、ご相談だけでも構いませんのでお気軽にご来院ください。
こちらのページもご覧ください。
審美歯科治療・ホワイトニング|港南台の歯医者 港南台パーク歯科クリニック
歯のクリーニング・予防|港南台の歯医者 港南台パーク歯科クリニック