2022/01/14

治療内容
歯周病に対する再生療法・インプラント・ブリッジ期間
1年6ヶ月治療回数
40回程度費用
インプラント6本 1,320,000円(税込)
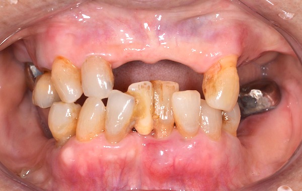
患者様は70歳女性、主訴は「入れ歯をひっかけていた左上の差し歯が取れてしまった。入れ歯の見た目が悪いので、できたら見た目もなんとか綺麗にしたい。今回、時間ができたので、徹底的に治療したい!」というものでした。


患者様のお口の状態は、歯周病がかなり進行しており、表から見えるところに、入れ歯のバネが多数かかっていました。
①主訴である、差し歯が取れてしまった部位の治療から開始しました。
残念ながらこの箇所は虫歯がひどく進行していたため、抜歯をしました。
②歯科医院で診療を受けるのはとても久しぶりとのことでしたので、歯石取り+歯周病の検査を行いました。
③現時点でのお口の状態を患者様に詳しく説明する時間を設け、患者様とともに治療計画を決定しました。
今回の治療計画は下記の通りです。
・残せない歯は抜歯し、残せる歯は徹底的に歯周病治療を行う。
・歯周病のコントロールができた時点で、保険診療でブリッジにできる箇所はブリッジによる固定性の修復をする。
・義歯になる部位は、義歯ではなくインプラントにて治療する。
・「20年やり直しをしない治療」をテーマとする。
④歯周病治療(部分麻酔下で、歯茎の中の歯石をとる治療)を進めつつ、抜歯および仮歯・治療期間用の入れ歯の作成を行いました。
これは治療期間中に歯の機能を最低限維持するためです。

⑤歯周病のコントロールができたところで、インプラント治療に入りました。
右下・左上・左下と3回に分けて部分麻酔で行い、いずれの部位も治療時間は1時間程で、手術はトラブルなく完了しました。


⑥右上4番目の歯は、歯周病に対する再生療法(エムドゲイン+骨補填材)を行い、残せる歯については徹底的な歯周病治療を実施しました。
⑦インプラントが骨と結合するまで3ヶ月程度待ち、仮歯を装着しました。
仮歯をしばらく使っていただき、見た目および歯の機能に問題がないことを確認しました。
⑧仮歯に問題がなかったので、最終的に被せ物を装着しました。


⑨ご自身で口腔内のケアができなければ、この状態を長期間維持することは不可能なので、担当歯科衛生士による口腔ケア指導を丁寧に行いました。
患者様は、今まで食べるのを我慢していた物も何でも食べられるようになり、「頑張って治療した甲斐があった」と、大変満足されていらっしゃいます。見た目に関しても、今までは口元を隠して笑っていたそうですが、治療後は口元を気にすることなく会話をして、自然な笑顔を見せられるようになったとのことです。
現在は2ヶ月に1度、歯のメインテナンスのため当クリニックに通っていただいており、経過は良好です。
・予後を完全に保障するものではありません。
・インプラント治療は自由診療になります。
・インプラントは虫歯にはなりませんが、歯周病になる可能性はあります。インプラント治療後は歯科医院での定期的なメインテナンスが大切です。
また、ブリッジは口腔内の清掃がしにくいため、歯間ブラシなどの補助用具を用いたセルフケアも重要です。
・インプラントは患者様の健康状態やお口の状態によっては適用できないケースがございます。
歳を重ねても、若い頃のように食べ物を何でも噛めて食事を楽しみ、毎日いっぱい笑って過ごせることは、人生においてとても大切なことだと思います。
今回の治療では「20年やり直しをしない治療」をテーマにしたので、今後トラブルになる可能性が高い歯に関しては、抜歯をさせていただきました。
患者様が以前通われていた歯科医院では、前歯を保険診療で入れ歯にしていました。もちろん入れ歯も一つの選択肢ではありますが、私は患者様と相談した結果、前歯を保険診療でブリッジにしました。ブリッジにしたことにより、見た目はかなり改善し、違和感の少ないものになりました。患者様それぞれに適した治療法を選択・提示していくことが、何より大切だと思っています。
今回の治療では、治療期間と費用が比較的多くかかりました。しかし治療によって、患者様は好きな食べ物も何でも噛めるようになり、笑顔にも自信を持っていただくことができました。これからの人生を大いに楽しんでいただくお手伝いができたのでは、と思っています。
港南台パーク歯科クリニックは患者様に寄り添い、患者様のご希望に沿った適切な治療を提供しております。お口のことでご相談がありましたら、些細なことでも結構ですので、ぜひ一度ご来院ください。スタッフ一同お待ちしております。
港南台パーク歯科クリニック院長 川又烈志
こちらのページもご覧ください。
インプラント|港南台の歯医者 港南台パーク歯科クリニック
入れ歯治療|港南台の歯医者 港南台パーク歯科クリニック
歯周病治療|港南台の歯医者 港南台パーク歯科クリニック