2022/09/21

治療内容
入れ歯からインプラントによるブリッジへの治療(ガイデッドサージェリー)期間
6ヶ月治療回数
10回程度費用
インプラント4本 880,000円(税込)
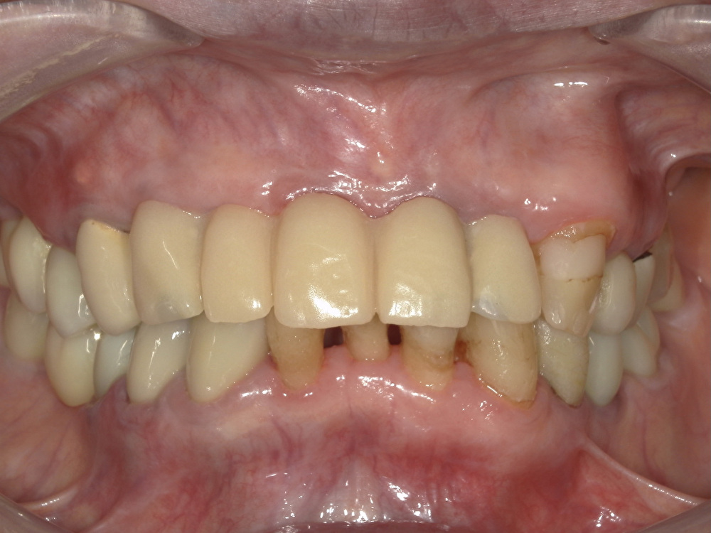
患者様の主訴は『入れ歯の前歯を綺麗に治して、見た目を気にせずに笑いたい。違和感のない前歯になるよう治療したい。』というものでした。術前の状態が以下の写真です。

会話時や笑ったときに入れ歯の金属のバネが見えてしまっており、患者様はとても前歯の見た目を気にしていらっしゃいました。
まずは治療方針についてじっくりと時間をかけて相談し、決定いたしました。見た目のみの改善であれば、ノンクラスプデンチャーという保険外の入れ歯を作ることで、見た目を大きく改善することは可能でした。
※ノンクラスプデンチャーについては【症例】見た目の良い入れ歯 をご参照ください。
しかし、患者様は入れ歯の装着感も気になっており、極力違和感のない治療方法を希望されました。そこで今回は入れ歯ではなくインプラントを用いて、極力自然な見た目で違和感のないブリッジを作っていくことにしました。
①治療計画
CTを撮影して、インプラントの治療計画を立てていきました。かなり骨がやせてしまっていたため、一番細いインプラントで対応することにしました。
骨が十分にあるケースと比較するとインプラントの本数は増えてしまいますが、患者様の肉体的及び精神的な負担を減らすため、極力低侵襲な治療になるよう計画を行いました。

今回はかなりシビアなケースであったため、サージカルガイド(コンピューターで設計した通りにインプラントを行う装置)を用いてインプラント治療を行う方針としました。
こちらがサージカルガイドの写真です。

②インプラント手術
局所麻酔を行い、サージカルガイドを用いてインプラント治療を行いました。サージカルガイドにより、より安全・正確・そして迅速に手術を行うことができ、手術時間は1時間程で終了しました。
術後は腫れと痛みが少し出ましたが、飲み薬で問題なくコントロールできる範囲でした。
③仮歯の装着
インプラントが骨と結合するのを3ヶ月ほど待ち、仮歯を装着しました。
仮歯で見た目・機能面に問題がないか確認を行いました。

④最終的なジルコニアブリッジの装着
仮歯の形を参考にして、最終的なジルコニアブリッジが装着されました。


患者様は治療後、人前でも自信をもって笑うことができるようになったと見た目に非常に満足されていました。
装着感についても、入れ歯と違って装着感が大変自然で全く違和感がなく、なんでも自分の歯のように噛み切れると大変喜ばれていました。
現在は定期的にクリニックにメンテナンスに通っていただいており、経過は良好です。
・予後を完全に保証するものではありません。インプラントは虫歯にはなりませんが、歯周病にはなる可能性があります。治療後はご自身でのケアに加え、クリニックでの定期的なケアがとても大切です。
・インプラント治療は自由診療での治療となります。
・患者様のお口や体の状態によってはインプラント治療を適応できない場合がございます。
<前歯の治療はインプラント治療で改善できます>
今回はインプラント治療を用いた前歯の審美治療についてご紹介させていただきました。入れ歯との見た目の違いは一目瞭然かと思います。
見た目のみの改善であれば、ノンクラスプデンチャーもオススメではありますが、見た目に加えて装着感・噛み具合といった機能性を求められるのであれば、今回のケースのようなインプラント治療が最適な治療法かと思います。
インプラント治療のメリット
・見た目が綺麗で違和感がほとんどなく、自分の歯に一番近い状態に回復することが可能
・他の歯を削らずに済む
・他の歯に余計な力の負担をかけない
・硬いものでもなんでも噛むことができる
インプラント治療のデメリット
・外科的な治療が必要なため、痛みや腫れを伴うことが多い
・治療期間が長い(現在はインプラントの改良により、かなり治療期間が短縮されています)
・保険外診療のため、治療費が高い
患者様のお口や体の状態によって、最適な治療は異なります。港南台パーク歯科クリニックでは一人一人に最適な治療を提供できるよう心がけております。お口のことでお困りの方は是非一度、港南台パーク歯科クリニックに相談にいらして下さい。スタッフ一同お待ちしております。
港南台パーク歯科クリニック院長 川又
こちらもご参照ください。