症例

診療時間
月~金 9:00-13:00 / 14:00-18:00
土・日 9:00-12:00 / 13:00-16:00
休診日
祝日
診療時間
月~金 9:00-13:00 / 14:00-18:00
土・日 9:00-12:00 / 13:00-16:00
休診日
祝日
 

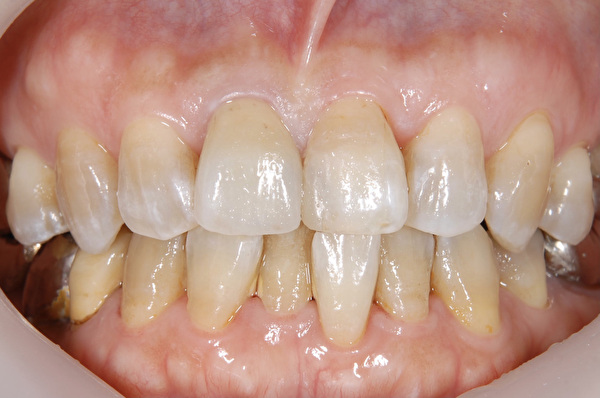
【症例】明度の暗い歯に対するデュアルホワイトニング

港南台パーク歯科クリニック|【症例】明度の暗い歯に対するデュアルホワイトニング|アイキャッチ画像
まずはホワイトニングについて説明をしました。 1.オフィスホワイトニング ¥33,000(税込) これは、歯科医院で歯科医師や歯科衛生士が施行するホワイトニングで、35%の過酸化水素を使用します。...

【症例】骨が不足している上顎の奥歯のインプラント治療

港南台パーク歯科クリニック|症例|【症例】骨が不足している上顎の奥歯のインプラント治療|アイキャッチ画像
①治療方針の相談 元々インプラントをご希望でしたので、一般的なレントゲン写真に加え、CTを撮影しました。CTで骨の状態を精査したところ、骨の幅は十分にありましたが、骨の高さ(厚さ)がやや不足して...

【症例】先天性欠如歯に対するインプラント治療

港南台パーク歯科クリニック|症例|【症例】先天性欠如歯に対するインプラント治療|ビフォアフターレントゲン画像
①治療方針の相談 患者様のしみると言う主訴に対しては、「歯の神経を取る」ことによって改善することはできます。しかし、これだけ根が短い歯を治療したところで、どれだけこの歯が持つでしょうか?患者様と...

【症例】標準的な奥歯のインプラント治療

港南台パーク歯科クリニック|症例|【症例】標準的な奥歯のインプラント治療|アイキャッチ画像_1
①CT・お口の中の検査 CTを撮影してインプラントをする部位の骨の状態の確認を行い、また、他の歯の状態も問題ないか確認をしました。せっかくお金をかけてインプラント治療をしても、噛み合う歯の状態が...

【症例】標準的なインプラント治療 38.5万円~( ストローマン製インプラント+ジルコニア)

港南台パーク歯科クリニック|症例|【【症例】標準的なインプラント治療 38.5万円~( ストローマン製インプラント+ジルコニアセラミック )|アイキャッチ画像
①相談 インプラント治療のメリット・デメリットについて、丁寧にご説明し、患者様はインプラント治療を希望されました。まずはCTを撮影しました。  (他院ではCT撮影代金と診断料をあわせ...

港南台パーク歯科クリニックグループのご紹介