インプラント
インプラント
インプラント希望の患者様には、CT撮影・インプラント相談を無料で行っております。
インプラント体はスイスのストローマンという信頼のおけるメーカーのみ使用しております。

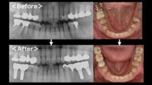
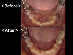
インプラントとは、顎の骨にチタン製のインプラント(人工歯根)を植立し、それを土台に上から人工歯を被せることで、歯の欠損を補う治療方法のことです。当クリニックではオペ専用の診療室を完備し、インプラント治療に力を入れております。おかげさまで数多くの治療実績を確立し、他の歯科医院様からの委託を受けてのインプラント治療も行っております。
また、当クリニックはCTを完備しています。CTがない医院でインプラント治療を受けられる場合は、別途CTセンターで撮影する必要がありますが、当クリニックはその必要がありません。


【当院のインプラント治療の特徴1】
シミュレーションによる安全性の向上

手術前に歯科用CTで読み取ったデータをもとに「ストローマンガイドシステム」というソフトを使って、インプラントの治療計画から埋入までをシミュレーションします。そのため的確なインプラント治療が可能です。

【当院のインプラント治療の特徴2】
サージカルガイドによる手術

手術の際にはインプラント体を埋め込む角度や深さの不具合を避けるために、患者様の口腔内データをインプラント専用の解析ソフトで分析し、サージカルガイドを作成します。コンピューターによる解析で、将来的なリスクまでも視野に入れた治療が行えます。
【当院のインプラント治療の特徴3】
骨が少ない人には骨再生治療で対応

インプラント治療に必要な条件として、顎の骨の厚みがあります。顎の骨が薄いとうまくインプラントを植立できず、治療が困難になるのです。その場合は次のような骨再生療法を行い、“インプラント治療が可能な土台”を整えます。
GBR
骨が不足している箇所に膜で骨を作るスペースを確保し、その中に骨の素となる物質を注入して骨の再生を促します。
サイナスリフト
頬の骨の中は大きな空洞になっており、その部分を「サイナス(上顎洞)」といいます。サイナスを覆う粘膜を持ち上げて上顎の骨との間にすき間を作り、そこに骨の素になる物質を注入し、骨が作られるのを待ちます。
【当院のインプラント治療の特徴4】
歯科恐怖症の方は静脈内鎮静法で対応

静脈内鎮静法とは、静脈内点滴で催眠沈静導入剤を少量投与し、眠りに落ちたような夢心地の状態にする麻酔方法です。健忘効果もあるため、手術中の記憶はほとんど残りません。しかし全身麻酔とは異なりますので、完全に意識が消失することはなく、全身麻酔よりも早く回復します。
当クリニックでは、静脈内鎮静法のご希望があれば、麻酔専門医が手術に立ち会いますので、安心してインプラント治療を受けていただけます。
【当院のインプラント治療の特徴5】
抜歯即時埋入

これまでのインプラント治療では最低でも2回の外科処置が必要で、治療期間が長期にわたるため患者様の負担が大きくなるデメリットがありました。抜歯即時埋入は治療期間を短くできるので、患者様の時間的・費用的負担を軽減できる治療法です。
しかし、全ての患者様が適用できるわけではありませんので、カウンセリング時にご相談ください。
【当院のインプラント治療の特徴6】
ALL ON 4

全顎的に歯がなくても、4本のインプラントを顎に埋め込むことで、お口の中全体を義歯にする治療方法です。オールオン4は治療期間を短縮し、費用の負担も軽減できるので、患者様に喜ばれている治療方法です。また、日帰りでの手術が可能ですので、手術したその日に食事ができるメリットもあります。
保証期間

当院でインプラント手術を受けていただいた患者様に、インプラント本体10年、上部構造5年の保証期間を設けています。ただし、定期的にメンテナンスに通われていることが条件です。インプラントに違和感がある、外れてしまったなどトラブルがありましたら、お気軽にご相談ください。
【STEP1】カウンセリング
失った歯の数やインプラントを埋め込む骨の量、質、位置など把握し、インプラントを入れる歯の数や治療計画を立てます。
【STEP2】インプラントを埋め込む手術
専門器具を用い、実際にインプラントを埋め込みます。
【STEP3】治療期間
1次手術後2~4ヶ月程経つと、インプラントと骨が強く結合します。
【STEP4】歯肉を開く手術
結合したら、人工の歯を取り付ける準備をします。
【STEP5】人工の歯を製作・装着
型を取って人工の歯を作ります。患者様一人ひとりに合わせた形や色で製作した被せ物を取り付けます。


























