2025/09/23

治療内容
ジルコニアセラミックブリッジによる審美治療期間
約3ヶ月治療回数
10回程度費用
ジルコニアセラミッククラウン6本 792,000円(税込)
今回の患者様は50代の女性で、「前歯のブリッジがグラグラして他院に行ったところ、前歯のインプラント治療を勧められた。インプラントの他に良い治療がないか相談したい。」とのことでした。
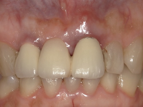
こちらが初診時のレントゲンとお口の写真になります。


右上の1番目の歯がすでになく、右上の2番目と左上の1番目の歯でブリッジが入っている状態です。ブリッジは、他の歯の色に比べ、白く不自然な色となっています。さらに、左上1番目の歯茎が腫れてしまっているのが良くわかります。
①現状説明
患者様のお口の中を診察させていただき、レントゲン写真を撮影して、現在の歯の状態について詳しく調べました。調べた結果、ブリッジを支えている左上1番目の歯の根にヒビが入っている状態(歯根破折)でした。歯根破折が生じた歯は、ヒビに沿って細菌が感染し、周りの骨が溶かされ、歯茎が赤く腫れ上がり炎症を起こす原因となるため、抜歯が必要となります。
②治療方針の相談
今回は左上1番目の歯の抜歯が必要ですので、元々ない右上の1番目の歯も考慮すると、真ん中の歯が2本なくなってしまいます。
治療方法は入れ歯・ブリッジ・インプラントの3つとなります。
それぞれの特徴をご紹介いたします。
<入れ歯>
両隣の歯にバネを引っ掛けて取り外しができる装置になります。保険診療で作った場合、金属のバネを使用して入れ歯を固定するため、見た目が大変悪くなってしまいます。また保険外のノンクラスプデンチャーという見た目の良い入れ歯もありますが、前歯ですと見た目が少し悪くなり、また入れ歯特有の装着感(違和感)が出てしまうのがデメリットです。

<ブリッジ>
両隣の歯を削って、固定式のつながった被せ物をセメントで固定する方法です。両隣の歯を削らなければならないという最大のデメリットはありますが、入れ歯と異なり、違和感はあまりなく、見た目も入れ歯より綺麗に仕上げることができます。また、インプラントのような外科的な処置が不必要で治療期間も比較的短く済みます。
保険診療で作るブリッジは硬質レジン前装冠というもので、表はプラスチック、裏は金属の材料になります。限られた数種類の色の中から色を選ばなければならないため、色がピッタリは合いません。また、数年するとプラスチックが黄ばんできたり、歯茎が黒ずんできたりする点がデメリットとなります。見た目は少し落ちますが、保険診療でコスト面が安く済むのが最大のメリットです。

保険外診療で作る場合は、ジルコニアやセラミックという材料を用いたブリッジになります。セラミックは技工士が周囲の歯の写真を見ながら色調を再現していくため、よりご自身の歯に近い見た目を再現することが可能です。色の経年的な変化もありません。(保険の歯はプラスチックのお皿、保険外の歯はせともののお皿を想像してもらえるとイメージがつきやすいかと思います。)また、金属を使わないため金属アレルギーの心配もなく、汚れも付着しにくい材料ですので、衛生面もとても良いのがメリットとなります。

<インプラント>
インプラントはチタン製の人工歯根を骨の中に埋め込み、人工歯根を土台として被せ物を装着する方法になります。最大のメリットは周囲の余計な歯を削らなくて済むことと、周囲の歯に余計な力の負担をさせずに済むことです。またデメリットは外科的な処置が必要であり、治療期間が長く、また完全に保険外治療となるため費用が高いことです。

患者様は外科的な処置を極力避けて、前歯なので治療期間も短くしたいということで、今回はブリッジでの治療を希望されました。またせっかくなので見た目も綺麗に仕上げたいとのことで、保険外でのジルコニアセラミックによるブリッジ治療を希望されました。
③仮歯の型取り
抜歯をした際にすぐに仮歯が装着できるように事前に仮歯の型取りを行い、仮歯の準備を行いました。
④抜歯と仮歯のセット
残念ながら保存することが不可能な左上1番目の歯の抜歯を行いました。同日にブリッジの土台となる歯も削り、仮歯をセットしました。今回はより長い期間ブリッジが安定するように右上の3番目から左上の3番目の歯までを土台とすることにしました。(どこまでの歯をブリッジの土台にするかは周囲の歯の状態や噛み合わせなどで判断が必要です。)

⑤仮歯の調整
抜歯を行った部位の歯茎は形が変化するため、歯茎がしっかり治るのを待ちつつ仮歯の調整を2回ほど行いました。(仮歯の形など気になる部分はこの時点でしっかり修正を行います。そうすることで最終的な被せ物がイメージしていたものと違ったとならないようにすることができます。)
⑥型取り
最終的な型取りを行いました。
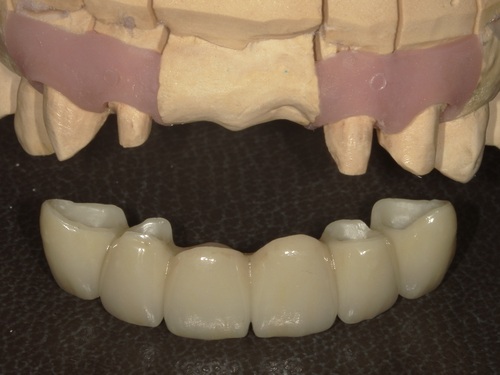
⑦セット
型取りから2週間ほどでジルコニアセラミックブリッジが完成してきました。


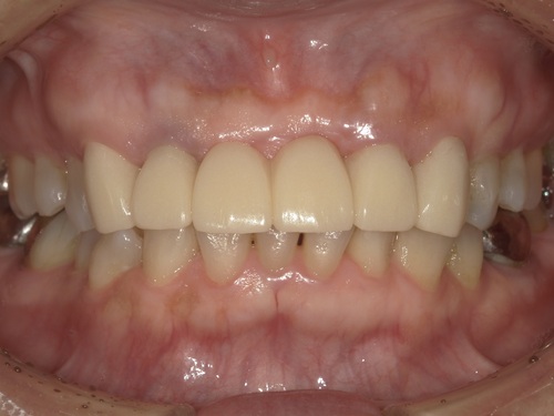
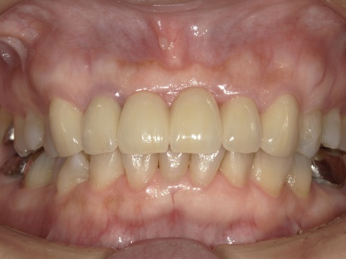
適合・色合い・噛み合わせに問題がないことを確認し、歯科用セメントでしっかりとセットしました。術前と比較して色も自然でとても美しい仕上がりかと思います。

初診時にはインプラント治療にするかブリッジ治療にするか大変悩まれておりましたが、綺麗なブリッジが入って、患者様は今回の治療に大変満足されております。また保険外治療で高額な治療とはなりましたが、とても綺麗な歯が入ったと『ジルコニアセラミックにして良かった』とおっしゃられておりました。
・予後を完全に保障するものではありません。
・ジルコニアセラミックは保険外(自由診療)での治療となります。
・ブリッジのデメリットは清掃が難しいことです。清掃が十分できなければ虫歯や歯周病になってしまうため、ご自身での毎日のケアがとても重要になります。
・ブリッジは周囲の歯に余計な力の負担がかかるため、土台の歯が歯根破折を起こしてしまう可能性がございます。
今回は歯根破折による前歯のブリッジのやり直しのケースをご紹介させていただきました。前歯はとても見た目が重要な部位になりますので、見た目を「より美しく自然に仕上げたい』ご希望がございましたら、第一選択は保険外治療のジルコニアセラミックになるかと思います。
ジルコニアセラミックとは「強度が必要な見えないフレーム部分をジルコニアという強度がある素材で作り』、『表面の見える部分にセラミックを貼り付けた』ジルコニアとセラミックを合わせた材料になります。メタルフリー(金属不使用)のため、金属アレルギーの心配がなく、強度と美しさを兼ね備えたとても素晴らしい材料になります。
また、表面がとてもツルツルしており、汚れが付着しにくく、ケアしやすい点も重要なメリットとなります。ブリッジは複数の歯が繋がっており、ケアが難しいです。ジルコニアセラミックを使えば決して虫歯や歯周病にならないという訳ではもちろんありませんが、ジルコニアやセラミックを用いることで、ブリッジなどのケアしにくい部位の虫歯や歯周病のリスクを下げることが可能です。
ブリッジ・インプラント・入れ歯には様々なメリット・デメリットがございます。また保険治療・保険外治療にも同じようにメリット・デメリットがございます。
当院ではしっかりと様々な情報を患者様にお伝えした上で、ご納得いただける治療方法を選択いただいております。歯でお困りのことがございましたら、ぜひ当院に一度ご相談にいらしていただければ幸いです。スタッフ一同お待ちしております。
港南台パーク歯科クリニック院長 川又
こちらもご参照ください。
ブリッジの症例・ブログ一覧|港南台パーク歯科クリニック